TRIM5 alpha (TRIM5) (C-term) Rabbit Polyclonal Antibody
CAT#: AP22859PU-N
TRIM5 alpha (TRIM5) (C-term) rabbit polyclonal antibody, Aff - Purified
Other products for "TRIM5"
Specifications
| Product Data | |
| Applications | ELISA, IHC, WB |
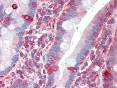
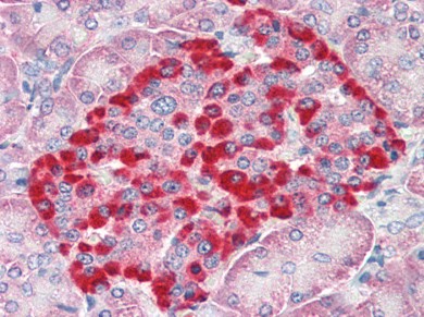
| Recommended Dilution | ELISA. Immunohistochemistry on Paraffin Sections: 2.5 µg/ml. Western Blot: 1 - 2 µg/ml. |
| Reactivities | Human |
| Host | Rabbit |
| Clonality | Polyclonal |
| Immunogen | TRIM5 antibody was raised against synthetic peptide |
| Specificity | This antibody reacts to Tripartite Motif-containing 5 (TRIM5). |
| Formulation | PBS containing 0.02% sodium azide State: Aff - Purified State: Liquid purified Ig fraction |
| Concentration | 1 mg/ml |
| Purification | Immunoaffinity Chromatography |
| Gene Name | Homo sapiens tripartite motif containing 5 (TRIM5), transcript variant alpha |
| Database Link | |
| Background | TRIM5 is a member of a broad family of otherwise unrelated proteins defined by the presence of a tripartite motif containing a RING domain, a B-box type 1, and a B-box type 2, followed by a coiled-coil region. TRIM5 has six alternately spliced isoforms, the longest of which is the a variant which also contains a carboxy-terminal B30.2 (SPRY) domain (1). Expression of TRIM5a variants from humans, rhesus monkeys, and African green monkeys enabled resistance to infection by various retroviruses including HIV-1 (2,3), albeit at differing efficiencies. All TRIM5a variants could inhibit at least two different retroviruses, but not from those viruses isolated from the same species, suggesting that TRIM5a acts as a natural barrier to cross-species retrovirus transmission (3). While a function has not yet been assigned to TRIM5g, it is known that expression of TRIM5a variants from humans, rhesus monkeys, and African green monkeys enable resistance to infection by various retroviruses including HIV-1, albeit at differing efficiencies. Furthermore, the TRIM5d isoform appears to serve as a scaffold for the assembly of endogenous BTBD1 and BTBD2 proteins and also exhibits autoubiquitination activity in a RING finger- and UbcH5B-dependent manner. The TRIM5d isoform has been shown to colocalize with the topoisomerase I-interacting proteins BTBD1 and BTBD2 in punctate or elongated cytoplasmic bodies in several mouse and human cells where it appears to serve as a scaffold for the assembly of endogenous BTBD proteins. TRIM5d also exhibits autoubiquitination activity in a RING finger- and UbcH5B-dependent manner. |
| Synonyms | RING finger protein 88 |
| Reference Data | |
| Protein Families | Druggable Genome |
Documents
| Product Manuals |
| FAQs |
| SDS |
{0} Product Review(s)
0 Product Review(s)
Submit review
Be the first one to submit a review
Product Citations
*Delivery time may vary from web posted schedule. Occasional delays may occur due to unforeseen
complexities in the preparation of your product. International customers may expect an additional 1-2 weeks
in shipping.
Germany
Japan
United Kingdom
China