Rabbit polyclonal anti-ARG2 antibody
| Applications | WB |
| Reactivities | Human |
| Conjugation | Unconjugated |
| Immunogen | The antiserum was produced against synthesized peptide derived from C-terminal of human ARG2. |
Rabbit polyclonal anti-ARG2 antibody
| Applications | WB |
| Reactivities | Human |
| Conjugation | Unconjugated |
| Immunogen | The antiserum was produced against synthesized peptide derived from C-terminal of human ARG2. |
Rabbit Polyclonal Anti-ARG2 Antibody
| Applications | WB |
| Reactivities | Human, Mouse |
| Conjugation | Unconjugated |
| Immunogen | The immunogen for anti-ARG2 antibody: synthetic peptide directed towards the N terminal of human ARG2. Synthetic peptide located within the following region: LSFTPVPKDDLYNNLIVNPRSVGLANQELAEVVSRAVSDGYSCVTLGGDH |
Rabbit Polyclonal Anti-ARG2 Antibody
| Applications | WB |
| Reactivities | Human, Mouse |
| Conjugation | Unconjugated |
| Immunogen | The immunogen for anti-ARG2 antibody: synthetic peptide directed towards the C terminal of human ARG2. Synthetic peptide located within the following region: SALDLVEVNPQLATSEEEAKTTANLAVDVIASSFGQTREGGHIVYDQLPT |
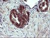
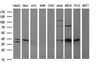
Carrier-free (BSA/glycerol-free) ARG2 mouse monoclonal antibody, clone OTI3G5 (formerly 3G5)
| Applications | IF, IHC, WB |
| Reactivities | Human, Dog, Rat |
| Conjugation | Unconjugated |
Carrier-free (BSA/glycerol-free) ARG2 mouse monoclonal antibody, clone OTI1F6 (formerly 1F6)
| Applications | WB |
| Reactivities | Human |
| Conjugation | Unconjugated |
ARG2 Antibody - middle region
| Applications | WB |
| Reactivities | Mouse |
| Conjugation | Unconjugated |
| Immunogen | The immunogen is a synthetic peptide directed towards the middle region of mouse ARG2 |
Arginase 2 (ARG2) Rabbit polyclonal Antibody
| Applications | ELISA, WB |
| Reactivities | Human, Mouse, Rat |
| Conjugation | Unconjugated |
| Modifications | Unmodified |
ARG2 mouse monoclonal antibody, clone OTI3G5 (formerly 3G5)
| Applications | IF, IHC, WB |
| Reactivities | Human, Dog, Rat |
| Conjugation | Unconjugated |
ARG2 mouse monoclonal antibody, clone OTI3G5 (formerly 3G5), Biotinylated
| Applications | IF, IHC, WB |
| Reactivities | Human, Dog, Rat |
| Conjugation | Biotin |
ARG2 mouse monoclonal antibody, clone OTI3G5 (formerly 3G5), HRP conjugated
| Applications | IF, IHC, WB |
| Reactivities | Human, Dog, Rat |
| Conjugation | HRP |
ARG2 mouse monoclonal antibody, clone OTI3G5 (formerly 3G5)
| Applications | IF, IHC, WB |
| Reactivities | Human, Dog, Rat |
| Conjugation | Unconjugated |
ARG2 mouse monoclonal antibody, clone OTI1F6 (formerly 1F6)
| Applications | WB |
| Reactivities | Human |
| Conjugation | Unconjugated |
ARG2 mouse monoclonal antibody, clone OTI1F6 (formerly 1F6), Biotinylated
| Applications | WB |
| Reactivities | Human |
| Conjugation | Biotin |
ARG2 mouse monoclonal antibody, clone OTI1F6 (formerly 1F6), HRP conjugated
| Applications | WB |
| Reactivities | Human |
| Conjugation | HRP |
ARG2 mouse monoclonal antibody, clone OTI1F6 (formerly 1F6)
| Applications | WB |
| Reactivities | Human |
| Conjugation | Unconjugated |