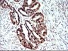
TIA1 mouse monoclonal antibody, clone 2G9A10F5, Purified
| Applications | IHC |
| Reactivities | Human |
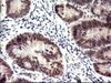
TIA1 mouse monoclonal antibody, clone 2G9A10F5, Purified
| Applications | IHC |
| Reactivities | Human |
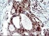
Wilms Tumor Protein (WT1) mouse monoclonal antibody, clone 6F-H2, Supernatant
| Applications | IHC |
| Reactivities | Human |
Rabbit Polyclonal PMS2 Antibody
| Applications | ELISA, IHC, WB |
| Reactivities | Human |
| Conjugation | Unconjugated |
| Immunogen | DNA immunization. This antibody is specific for the Middle Region of the target protein. |
USD 570.00
5 Days
Thymidylate Synthase (TYMS) mouse monoclonal antibody, clone TS106, Supernatant
| Applications | IF, IHC, WB |
| Reactivities | Human |
USD 375.00
5 Days
Tartrate Resistant Acid Phosphatase (ACP5) mouse monoclonal antibody, clone 9C5, Supernatant
| Applications | IHC |
| Reactivities | Human |
SFTPB mouse monoclonal antibody, clone 1B9, Supernatant
| Applications | IF, IHC |
| Reactivities | Human |
Villin (VIL1) mouse monoclonal antibody, clone CWWB1, Supernatant
| Applications | IHC |
| Reactivities | Human |
TPSAB1 mouse monoclonal antibody, clone G3, Supernatant
| Applications | IHC |
| Reactivities | Human |
PMS2 (C-term) rabbit polyclonal antibody, Purified
| Applications | ELISA, IHC |
| Reactivities | Human |
| Immunogen | Synthetic peptide - KLH conjugated |
USD 290.00
5 Days
Prostatic Acid Phosphatase (ACPP) mouse monoclonal antibody, clone PASE/4LJ, Supernatant
| Applications | IHC |
| Reactivities | Human |
PTEN mouse monoclonal antibody, clone 6H2.1, Supernatant
| Applications | IHC |
| Reactivities | Human |
ZAP70 mouse monoclonal antibody, clone 2F3.2, Supernatant
| Applications | IHC |
| Reactivities | Human |
Rabbit polyclonal anti-PMS2 antibody
| Applications | WB |
| Reactivities | Human |
| Conjugation | Unconjugated |
| Immunogen | The antiserum was produced against synthesized peptide derived from internal of human PMS2. |
Mouse monoclonal anti-PMS2 antibody
| Applications | WB |
| Reactivities | Chimpanzee, Hamster, Human, Mouse, Rat |
| Conjugation | Unconjugated |
Mouse Monoclonal PMS2 Antibody (163C1251)
| Applications | WB |
| Reactivities | Human, Mouse |
| Conjugation | Unconjugated |
Carrier-free (BSA/glycerol-free) PMS2 mouse monoclonal antibody, clone OTI2G5 (formerly 2G5)
| Applications | IF, IHC, WB |
| Reactivities | Human |
| Conjugation | Unconjugated |
Carrier-free (BSA/glycerol-free) PMS2 mouse monoclonal antibody, clone OTI4B7 (formerly 4B7)
| Applications | IF, IHC, WB |
| Reactivities | Human |
| Conjugation | Unconjugated |
Anti-PMS2 Rabbit Polyclonal Antibody
| Applications | IHC |
| Reactivities | Human, Mouse, Rat |
| Conjugation | Unconjugated |
| Immunogen | Synthetic peptide corresponding to a region derived from 638-650 amino acids of Human PMS2 postmeiotic segregation increased 2 (S. cerevisiae) |
Anti-PMS2 Rabbit Polyclonal Antibody
| Applications | IHC |
| Reactivities | Human, Mouse, Rat |
| Conjugation | Unconjugated |
| Immunogen | Synthetic peptide corresponding to a region derived from 638-650 amino acids of Human PMS2 postmeiotic segregation increased 2 (S. cerevisiae) |
Rabbit Polyclonal Anti-PMS2 Antibody
| Applications | IHC, WB |
| Reactivities | Human |
| Conjugation | Unconjugated |
| Immunogen | Synthetic peptide of human PMS2 |
MISMATCH (PMS2) Mouse Monoclonal Antibody
| Applications | IHC |
| Reactivities | Human |
| Conjugation | Unconjugated |
PMS2 Antibody - middle region
| Applications | WB |
| Reactivities | Human |
| Conjugation | Unconjugated |
| Immunogen | The immunogen is a synthetic peptide directed towards the middle region of human PMS2 |
PMS2 Rabbit polyclonal Antibody
| Applications | IF, IP, WB |
| Reactivities | Human |
| Conjugation | Unconjugated |
| Immunogen | Recombinant fusion protein containing a sequence corresponding to amino acids 390-670 of human PMS2 (NP_000526.2). |
| Modifications | Unmodified |
PMS2 Rabbit polyclonal Antibody
| Applications | WB |
| Reactivities | Human, Rat |
| Conjugation | Unconjugated |
| Immunogen | Recombinant fusion protein containing a sequence corresponding to amino acids 390-670 of human PMS2 (NP_000526.2). |
| Modifications | Unmodified |
PMS2 Rabbit polyclonal Antibody
| Applications | FC, IF, IHC, IP, WB |
| Reactivities | Human |
| Conjugation | Unconjugated |
| Immunogen | A synthesized peptide derived from human PMS2 |
PMS2 mouse monoclonal antibody, clone OTI2G5 (formerly 2G5)
| Applications | IF, IHC, WB |
| Reactivities | Human |
| Conjugation | Unconjugated |
Special Offer: Get a 15% discount on this product. Use code: "KO15".
PMS2 mouse monoclonal antibody, clone OTI2G5 (formerly 2G5)
| Applications | IF, IHC, WB |
| Reactivities | Human |
| Conjugation | Unconjugated |
PMS2 mouse monoclonal antibody, clone OTI4B7 (formerly 4B7)
| Applications | IF, IHC, WB |
| Reactivities | Human |
| Conjugation | Unconjugated |
Special Offer: Get a 15% discount on this product. Use code: "KO15".
PMS2 mouse monoclonal antibody, clone OTI4B7 (formerly 4B7)
| Applications | IF, IHC, WB |
| Reactivities | Human |
| Conjugation | Unconjugated |
PMS2 Rabbit Polyclonal Antibody
| Applications | ELISA, WB |
| Reactivities | Human |
| Conjugation | Unconjugated |
| Immunogen | This antibody is raised against a recombinant protein of PMS2 expressed in HEK293 cells |
PMS2 Rabbit Polyclonal Antibody
| Applications | ELISA, WB |
| Reactivities | Human |
| Conjugation | Unconjugated |
| Immunogen | This antibody is raised against a recombinant protein of PMS2 expressed in HEK293 cells |