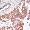
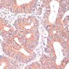
TIAM1 Rabbit polyclonal Antibody
| Applications | IHC, WB |
| Reactivities | Human, Rat |
| Conjugation | Unconjugated |
| Immunogen | Recombinant fusion protein containing a sequence corresponding to amino acids 1392-1591 of human TIAM1 (NP_003244.2). |
| Modifications | Unmodified |
Germany
Japan
United Kingdom
China