Antibodies

View as table Download

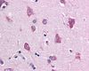
TM9SF4 Rabbit Polyclonal (Internal) Antibody

Applications IHC
Reactivities Gibbon, Gorilla, Human, Orang-Utan
Conjugation Unconjugated
Immunogen TM9SF4 antibody was raised against synthetic 15 amino acid peptide from internal region of human TM9SF4. Percent identity with other species by BLAST analysis: Human, Gorilla, Orangutan, Gibbon, Monkey (100%); Marmoset, Elephant, Dog, Bat, Bovine, Horse, Rabbit, Pig (93%); Panda (87%); Opossum (80%).

TM9SF4 Rabbit Polyclonal (N-Terminus) Antibody

Applications IHC
Reactivities Gibbon, Dog, Gorilla, Human, Monkey, Orang-Utan, Pig, Rabbit
Immunogen TM9SF4 antibody was raised against synthetic 14 amino acid peptide from N-Terminus of human TM9SF4. Percent identity with other species by BLAST analysis: Human, Gorilla, Orangutan, Gibbon, Monkey, Marmoset, Elephant, Panda, Dog, Rabbit, Pig (100%); Mouse, Rat, Bovine (93%); Bat, Opossum, Xenopus (86%).

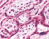
TM9SF4 Rabbit Polyclonal (Internal) Antibody

Applications IHC
Reactivities Gibbon, Chimpanzee, Guinea pig, Gorilla, Human, Monkey, Mouse, Orang-Utan, Rabbit
Immunogen TM9SF4 antibody was raised against synthetic 17 amino acid peptide from internal region of human TM9SF4. Percent identity with other species by BLAST analysis: Human, Chimpanzee, Gorilla, Orangutan, Gibbon, Monkey, Galago, Marmoset, Mouse, Rabbit, Guinea pig (100%); Rat, Elephant, Panda, Dog, Bat, Horse, Pig (94%); Bovine, Opossum, Zebra finch (88%); Turkey, Chicken (82%).

Rabbit Polyclonal Anti-TM9SF4 Antibody

Applications WB
Reactivities Human
Conjugation Unconjugated
Immunogen The immunogen for anti-TM9SF4 antibody: synthetic peptide directed towards the N terminal of human TM9SF4. Synthetic peptide located within the following region: HQNDPVEIKAVKLTSSRTQLPYEYYSLPFCQPSKITYKAENLGEVLRGDR