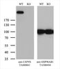
USP9X Rabbit polyclonal Antibody
| Applications | WB |
| Reactivities | Human, Mouse, Rat |
| Conjugation | Unconjugated |
| Immunogen | A synthetic peptide of human USP9X |
USP9X Rabbit polyclonal Antibody
| Applications | WB |
| Reactivities | Human, Mouse, Rat |
| Conjugation | Unconjugated |
| Immunogen | A synthetic peptide of human USP9X |
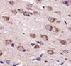
Rabbit Polyclonal USP9x Antibody
| Applications | IHC, WB |
| Reactivities | Human, Mouse, Rat |
| Conjugation | Unconjugated |
| Immunogen | Genomic peptide made to an internal region of the human Usp9X protein (within residues 1150-1300). [Swiss-Prot Q93008] |
Rabbit Polyclonal Anti-USP9X Antibody
| Applications | IHC, WB |
| Reactivities | Human, Mouse, Rat |
| Conjugation | Unconjugated |
| Immunogen | The immunogen for anti-USP9X antibody: synthetic peptide directed towards the C terminal of human USP9X. Synthetic peptide located within the following region: SQYQQNNHVHGQPYTGPAAHHMNNPQRTGQRAQENYEGSEEVSPPQTKDQ |
USP9X (2479-2492) goat polyclonal antibody, Aff - Purified
| Applications | IHC |
| Reactivities | Human, Monkey |
| Immunogen | USP9X antibody was raised against synthetic peptide from the C-terminus (near) of human USP9X (NP_001034679.2). |
Carrier-free (BSA/glycerol-free) USP9X mouse monoclonal antibody, clone OTI1D7 (formerly 1D7)
| Applications | WB |
| Reactivities | Human, Mouse, Rat |
| Conjugation | Unconjugated |
Carrier-free (BSA/glycerol-free) USP9X mouse monoclonal antibody, clone OTI2B4 (formerly 2B4)
| Applications | WB |
| Reactivities | Human, Mouse, Rat |
| Conjugation | Unconjugated |
Carrier-free (BSA/glycerol-free) USP9X mouse monoclonal antibody, clone OTI2G7 (formerly 2G7)
| Applications | IHC, WB |
| Reactivities | Human, Dog, Rat, Monkey, Mouse |
| Conjugation | Unconjugated |
Rabbit Polyclonal Anti-USP9X Antibody
| Applications | IHC |
| Reactivities | Human, Mouse, Rat |
| Conjugation | Unconjugated |
| Immunogen | Synthetic peptide of human USP9X |
USP9X rabbit polyclonal antibody
| Applications | IHC |
| Reactivities | Human, Mouse |
| Conjugation | Unconjugated |
| Immunogen | Synthetic peptide of human USP9X |
USP9X mouse monoclonal antibody, clone OTI1D7 (formerly 1D7)
| Applications | WB |
| Reactivities | Human, Mouse, Rat |
| Conjugation | Unconjugated |
Special Offer: Get a 15% discount on this product. Use code: "KO15".
USP9X mouse monoclonal antibody,clone 1D7, Biotinylated
| Applications | WB |
| Reactivities | Human, Mouse, Rat |
| Conjugation | Biotin |
USP9X mouse monoclonal antibody,clone 1D7, HRP conjugated
| Applications | WB |
| Reactivities | Human, Mouse, Rat |
| Conjugation | HRP |
USP9X mouse monoclonal antibody, clone OTI1D7 (formerly 1D7)
| Applications | WB |
| Reactivities | Human, Mouse, Rat |
| Conjugation | Unconjugated |
USP9X mouse monoclonal antibody, clone OTI2B4 (formerly 2B4)
| Applications | WB |
| Reactivities | Human, Mouse, Rat |
| Conjugation | Unconjugated |
Special Offer: Get a 15% discount on this product. Use code: "KO15".
USP9X mouse monoclonal antibody,clone 2B4, Biotinylated
| Applications | WB |
| Reactivities | Human, Mouse, Rat |
| Conjugation | Biotin |
USP9X mouse monoclonal antibody,clone 2B4, HRP conjugated
| Applications | WB |
| Reactivities | Human, Mouse, Rat |
| Conjugation | HRP |
USP9X mouse monoclonal antibody, clone OTI2B4 (formerly 2B4)
| Applications | WB |
| Reactivities | Human, Mouse, Rat |
| Conjugation | Unconjugated |
USP9X mouse monoclonal antibody, clone OTI2G7 (formerly 2G7)
| Applications | IHC, WB |
| Reactivities | Human, Dog, Rat, Monkey, Mouse |
| Conjugation | Unconjugated |
Special Offer: Get a 15% discount on this product. Use code: "KO15".
USP9X mouse monoclonal antibody,clone 2G7, Biotinylated
| Applications | IHC, WB |
| Reactivities | Human, Dog, Rat, Monkey, Mouse |
| Conjugation | Biotin |
USP9X mouse monoclonal antibody,clone 2G7, HRP conjugated
| Applications | IHC, WB |
| Reactivities | Human, Dog, Rat, Monkey, Mouse |
| Conjugation | HRP |
USP9X mouse monoclonal antibody, clone OTI2G7 (formerly 2G7)
| Applications | IHC, WB |
| Reactivities | Human, Dog, Rat, Monkey, Mouse |
| Conjugation | Unconjugated |