ASC1 (TRIP4) Rabbit Polyclonal Antibody
Other products for "TRIP4"
Specifications
| Product Data | |
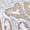
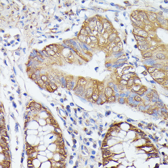
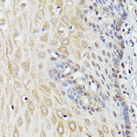
| Applications | IHC, IP, WB |
| Recommended Dilution | WB,1:500 - 1:2000 IHC,1:50 - 1:200 IP,1:50 - 1:200 |
| Reactivities | Human, Mouse, Rat |
| Modifications | Unmodified |
| Host | Rabbit |
| Isotype | IgG |
| Clonality | Polyclonal |
| Immunogen | Recombinant fusion protein containing a sequence corresponding to amino acids 282-581 of human TRIP4 (NP_057297.2). |
| Formulation | Buffer: PBS with 0.02% sodium azide,50% glycerol,pH7.3. |
| Concentration | lot specific |
| Purification | Affinity purification |
| Conjugation | Unconjugated |
| Storage | Store at -20℃. Avoid freeze / thaw cycles. |
| Stability | Shelf life: one year from despatch. |
| Predicted Protein Size | 66kDa |
| Gene Name | thyroid hormone receptor interactor 4 |
| Database Link | |
| Background | This gene encodes a subunit of the tetrameric nuclear activating signal cointegrator 1 (ASC-1) complex, which associates with transcriptional coactivators, nuclear receptors and basal transcription factors to facilitate nuclear receptors-mediated transcription. This protein is localized in the nucleus and contains an E1A-type zinc finger domain, which mediates interaction with transcriptional coactivators and ligand-bound nuclear receptors, such as thyroid hormone receptor and retinoid X receptor alpha, but not glucocorticoid receptor. Mutations in this gene are associated with spinal muscular atrophy with congenital bone fractures-1 (SMABF1). |
| Synonyms | ASC-1; HsT17391; TRIP-4 |
| Reference Data | |
Documents
| Product Manuals |
| FAQs |
| SDS |
{0} Product Review(s)
0 Product Review(s)
Submit review
Be the first one to submit a review
Product Citations
*Delivery time may vary from web posted schedule. Occasional delays may occur due to unforeseen
complexities in the preparation of your product. International customers may expect an additional 1-2 weeks
in shipping.
Germany
Japan
United Kingdom
China