SLC26A4 Mouse Monoclonal Antibody [Clone ID: UIRF#01065]
Other products for "SLC26A4"
Specifications
| Product Data | |
| Clone Name | UIRF#01065 |
| Applications | IHC |
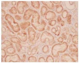
| Recommended Dilution | Immunohistochemistry on Paraffin Embedded Section: 1-5 µg/mL (Heat treatment). Microwave oven: 2 times for 10 minutes each in 10 mM Citrate buffer (pH 6.5). Positive Control: Human Kidney. Detailed procedure is provided in Protocols. |
| Reactivities | Human |
| Host | Mouse |
| Isotype | IgG1 |
| Clonality | Monoclonal |
| Immunogen | Recombinant Human Pendrin produced in Sf9 cells. |
| Specificity | This antibody reacts with Pendrin on Immunohistochemistry. |
| Formulation | PBS, pH 7.2 containing 50% Glycerol without preservatives. State: Azide Free State: Liquid purified IgG fraction. |
| Concentration | lot specific |
| Purification | Protein-A Agarose Chromatography of hybridoma supernatant. |
| Storage | Upon receipt, store undiluted (in aliquots) at -20°C. Avoid repeated freezing and thawing. |
| Stability | Shelf life: one year from despatch. |
| Gene Name | Homo sapiens solute carrier family 26 (anion exchanger), member 4 (SLC26A4) |
| Database Link | |
| Background | Pendred syndrome is an autosomal recessive disorder characterized by congenital deafness and thyroid goiter. This syndrome is caused by mutation of the gene encoding Pendrin (SLC26A4), a 780 amino acid transmembrane protein that functions as an iodide/chloride transporter. Pendrin expression appears to be restricted to the thyroid, inner ear, and kidney. In the kidney, Pendrin is expressed on the apical membranes of beta-intercalated and non-alpha-non-beta-intercalated cells, where it mediates HCO3– secretion and Cl– reabsorption in the connecting segment and cortical collecting duct. Pendrin retention in the endoplasmic reticulum is believed to be the major mechanism for Pendred syndrome. |
| Synonyms | PDS |
| Note | This product was originally produced by MBL International. Protocol: Immunohistochemical staining for paraffin-embedded sections: SAB method 1) Deparaffinize the sections with Xylene 3 times for 3-5 minutes each. 2) Wash the slides with Ethanol 3 times for 3-5 minutes each. 3) Wash the slides with PBS 3 times for 3-5 minutes each. 4) Heat treatment Heat treatment by Microwave: Place the slides put on staining basket in 500 mL beaker with 500 mL of 10 mM citrate buffer (pH 6.5). Cover the beaker with plastic wrap, then process the slides 2 times for 10 minutes each at 500 W with microwave oven. Let the slides cool down in the beaker at room temperature for about 40 minutes. 5) Remove the slides from the citrate buffer and cover each section with 3% H2O2 for 10 minutes at room temperature to block endogenous peroxidase activity. Wash 3 times in PBS for 5 minutes each. 6) Remove the slides from PBS, wipe gently around each section and cover tissues with Protein Blocking Agent (Ultratech HRP Kit) for 5 minutes to block non-specific staining. Do not wash. 7) Tip off the blocking buffer, wipe gently around each section and cover tissues with primary antibody diluted with PBS containing 1% BSA as suggest in the APPLICATIONS. 8) Incubate the sections for 1 hour at RT. 9) Wash the slides 3 times in PBS for 5 minutes each. 10) Wipe gently around each section and cover tissues with Polyvalent Biotinylated Antibody (Ultratech HRP Kit). Incubate for 15 minutes at RT. Wash as in step 9). 11) Wipe gently around each section and cover tissues with Streptavidin-Peroxidase (Ultratech HRP Kit). Incubate for 15 minutes at RT. Wash as in step 9). 12) Visualize by reacting for 10-20 minutes with substrate solution containing 7.5 mg DAB, 40 µL of 30% H2O2 in 150 mL PBS. *DAB is a suspect carcinogen and must be handled with care. Always wear gloves. 13) Wash the slides in water for 5 minutes. 14) Counter stain in hematoxylin for 1 minute, wash the slides 3 times in water for 5 minutes each, and then immerse the slides in PBS for 5 minutes. Dehydrate by immersing in Ethanol 3 times for 3 minutes each, followed by immersing in Xylene 3 times for 3 minutes each. 15) Now ready for mounting. Positive Control: Human Kideny |
| Reference Data | |
| Protein Families | Druggable Genome, Transmembrane |
Documents
| Product Manuals |
| FAQs |
{0} Product Review(s)
0 Product Review(s)
Submit review
Be the first one to submit a review
Product Citations
*Delivery time may vary from web posted schedule. Occasional delays may occur due to unforeseen
complexities in the preparation of your product. International customers may expect an additional 1-2 weeks
in shipping.
Germany
Japan
United Kingdom
China