14-3-3 protein pan Mouse Monoclonal Antibody [Clone ID: 3C8]

CAT#: AM26692AF-N

14-3-3 protein pan mouse monoclonal antibody, clone 3C8, Azide Free


Size
    • 100 ug

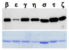
Product Images

Specifications

Product Data
Clone Name 3C8
Applications WB
Recommended Dilution Western blot: 1-5 μg/ml for chemiluminescence detection system; for details see protocol below.
Reactivities Human, Mouse, Rat
Host Mouse
Isotype IgG2b
Clonality Monoclonal
Immunogen Recombinant human 14-3-3β
Specificity This antibody reacts with 14-3-3.
Formulation PBS containing 50% glycerol, pH 7.2, containing no preservatives
State: Azide Free
State: Liquid Ig fraction
Concentration 1.0 mg/ml
Purification Protein A agarose
Background 14-3-3 was first described as an abundant acidic protein in brain composing 1% of the total soluble protein. The 14-3-3 family of proteins are expressed in all eukaryotic cells. There are at least seven highly conserved isoforms encoded by different gene products. These proteins have molecular weights of 29,000–32,000 and bind numerous cytoplasmic and nuclear signaling molecules including signaling molecules such as Raf, protein kinase C, p130Cas, BAD, and phosphatidylinositol 3-kinase. Interaction of 14-3-3 proteins with signaling molecules can localize, activate, inhibit, or stabilize the target molecules. Because 14-3-3 proteins are homo- and heterodimers, they have been considered as adaptor proteins that recruit and regulate the function of signaling molecules. They have been implicated in regulation of cell proliferation, cell cycle progression, apoptosis, and differentiation.
Note This product was originally produced by MBL International.

Protocol:

SDS-PAGE & Western Blotting
1) Wash the cells 3 times with PBS and suspend with 10 volume of cold Lysis buffer (50 mM Tris-HCl, pH 7.2, 250 mM NaCl, 0.1% NP-40, 2 mM EDTA, 10% glycerol) containing appropriate protease inhibitors. Incubate it at 4oC with rotating for 30 minutes, then sonicate briefly (up to 10 seconds).
2) Centrifuge the tube at 12,000 x g for 10 minutes at 4oC and transfer the supernatant to another tube. Measure the protein concentration of the supernatant and add the cold Lysis buffer to make 8 mg/mL solution.
3) Mix the sample with equal volume of Laemmli’s sample buffer.
4) Boil the samples for 3 minutes and centrifuge. Load 10 µL of the sample per lane in a 1 mm thick SDS-polyacrylamide gel for electrophoresis.
5) Blot the protein to a polyvinylidene difluoride (PVDF) membrane at 1 mA/cm2 for 1 hour in a semi-dry transfer system (Transfer Buffer: 25 mM Tris, 190 mM glycine, 20% MeOH). See the manufacture's manual for precise transfer procedure.
6) To reduce nonspecific binding, soak the membrane in 10% skimmed milk (in PBS, pH 7.2) for 1 hour at room temperature, or overnight at 4oC.
7) Incubate the membrane with primary antibody diluted with PBS, pH 7.2 containing 1% skimmed milk as suggest in the APPLICATIONS for 1 hour at room temperature. (The concentration of antibody will depend on condition.)
8) Wash the membrane with PBS-T [0.05% Tween-20 in PBS] (5 minutes x 3 times).
9) Incubate the membrane with the 1:10,000 HRP-conjugated anti-mouse IgG (MBL; code no. 330) diluted with 1% skimmed milk (in PBS, pH 7.2) for 1 hour at room temperature.
10) Wash the membrane with PBS-T (10 minutes x 3 times).
11) Wipe excess buffer on the membrane, then incubate it with appropriate chemiluminescence reagent for 1 minute.
12) Remove extra reagent from the membrane by dabbing with paper towel, and seal it in plastic wrap.
13) Expose to an X-ray film in a dark room for 3 minutes.
14) Develop the film as usual. The condition for exposure and development may vary.
(Positive controls for Western blotting; Jurkat, HeLa, mouse brain, rat brain, recombinant)

Reference Data

{0} Product Review(s)

0 Product Review(s) Submit review

Be the first one to submit a review

Product Citations

*Delivery time may vary from web posted schedule. Occasional delays may occur due to unforeseen complexities in the preparation of your product. International customers may expect an additional 1-2 weeks in shipping.