MMP10 (351-400) Rabbit Polyclonal Antibody
Specifications
| Product Data | |
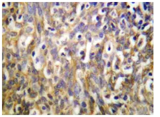
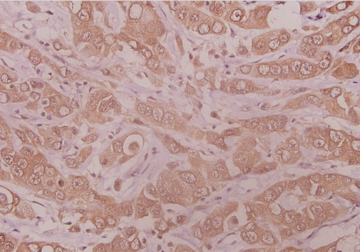
| Applications | IF, IHC, WB |
| Recommended Dilution | Imunofluorescence: 1/50-1/200. Immunohistochemistry on Paraffin Sections: 1/50-1/200. Western blotting: 1/500-1/1,000. |
| Reactivities | Human, Mouse, Rat |
| Host | Rabbit |
| Clonality | Polyclonal |
| Immunogen | Synthetic peptide, corresponding to amino acids 351-400 of Human MMP-10. |
| Specificity | This antibody detects endogenous levels of MMP-10 protein. (region surrounding Ile387) |
| Formulation | Phosphate buffered saline (PBS), pH~7.2 State: Aff - Purified State: Liquid purified Ig fraction (> 95% pure by SDS-PAGE) Preservative: 0.05% Sodium Azide |
| Concentration | 1.0 mg/ml |
| Purification | Affinity Chromatography using epitope-specific immunogen |
| Storage | Store undiluted at 2-8°C for one month or (in aliquots) at -20°C for longer. Avoid repeated freezing and thawing. |
| Stability | Shelf life: One year from despatch. |
| Predicted Protein Size | ~54 kDa |
| Database Link | |
| Background | Proteins of the matrix metalloproteinase (MMP) family are zinc containing proteolytic enzymes involved in the breakdown of the extracellular matrix in normal physiological processes, such as embryonic development, reproduction, and tissue remodeling. They also play an important role in apoptosis, tumor cell growth, invasion, metastasis, as well as in angiogenesis and wound healing. Most MMP's are secreted as inactive proproteins which are activated when cleaved by extracellular proteinases. Most of the MMP's contain a common domain structure, which include a signal sequence, a propeptide, a catalytic domain and a hemopexin-like (Hpx) domain. MMP10 degrades proteoglycans, gelatins of type I, III, IV, and V; weakly collagens III, IV, and V. and fibronectin. It activates procollagenase. The gene is part of a cluster of MMP genes which localize to chromosome 11q22.3. |
| Synonyms | Stromelysin-2, SL-2, Matrix metalloproteinase-10, Transin-2, STMY2, MMP10 |
| Reference Data | |
Documents
| Product Manuals |
| FAQs |
{0} Product Review(s)
0 Product Review(s)
Submit review
Be the first one to submit a review
Product Citations
*Delivery time may vary from web posted schedule. Occasional delays may occur due to unforeseen
complexities in the preparation of your product. International customers may expect an additional 1-2 weeks
in shipping.
Germany
Japan
United Kingdom
China