gamma Tubulin (TUBG1) (C-term) Rabbit Polyclonal Antibody
CAT#: AP07440PU-N
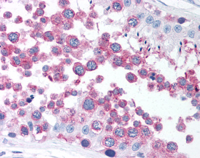
gamma Tubulin (TUBG1) (C-term) rabbit polyclonal antibody, Aff - Purified
Specifications
| Product Data | |
| Applications | IF, IHC, WB |
| Recommended Dilution | Immunofluorescence. Immunohistochemistry on Paraffin Sections: 1/50. Western Blot. |
| Reactivities | Human, Mouse |
| Host | Rabbit |
| Isotype | IgG |
| Clonality | Polyclonal |
| Immunogen | Synthetic peptide from human TUBG1 / Gamma Tubulin (C-term) |
| Specificity | This antibody reacts to the tubulin gamma chain (TUBG1) at C-term. |
| Formulation | Phosphate-buffered solution, pH 7.2, containing 0.09% sodium azide and 50% glycerol State: Aff - Purified State: Liquid purified Ig |
| Concentration | lot specific |
| Purification | Immunoaffinity Chromatography |
| Storage | Store undiluted at 2-8°C for one month or (in aliquots) at -20°C for longer. Avoid repeated freezing and thawing. |
| Stability | Shelf life: one year from despatch. |
| Database Link | |
| Background | Tubulin is the major constituent of microtubules. The gamma chain is found at microtubule organizing centers (MTOC) such as the spindle poles or the centrosome. Pericentriolar matrix component that regulates alpha/beta chain minus-end nucleation, centrosome duplication and spindle formation. |
| Synonyms | Tubulin gamma-1 chain, Gamma-1-tubulin, GCP-1 |
| Reference Data | |
Documents
| Product Manuals |
| FAQs |
{0} Product Review(s)
0 Product Review(s)
Submit review
Be the first one to submit a review
Product Citations
*Delivery time may vary from web posted schedule. Occasional delays may occur due to unforeseen
complexities in the preparation of your product. International customers may expect an additional 1-2 weeks
in shipping.
Germany
Japan
United Kingdom
China