Caspase 2 (CASP2) Rabbit Polyclonal Antibody
Other products for "CASP2"
Specifications
| Product Data | |
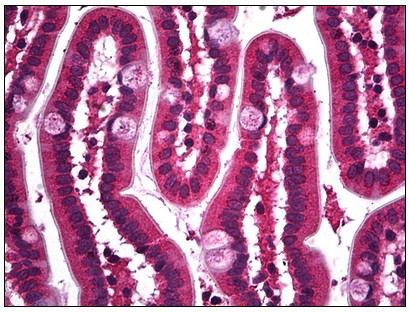
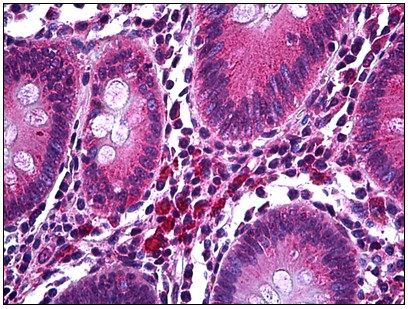
| Applications | IHC, WB |
| Recommended Dilution | Immunohistochemistry on Paraffin Sections: 1/200. Western Blot: 1/2000. |
| Reactivities | Human |
| Host | Rabbit |
| Isotype | IgG |
| Clonality | Polyclonal |
| Immunogen | Synthetic peptide - KLH conjugated |
| Specificity | This antibody reacts to Caspase 2 (CASP2). |
| Formulation | HEPES with 0.15M NaCl, 0.01% BSA, 0.03% sodium azide, and 50% glycerol State: Purified State: Liquid purified Ig fraction |
| Storage | Store the antibody undiluted at 2-8°C for one month or (in aliquots) at -20°C for longer. Avoid repeated freezing and thawing. |
| Stability | Shelf life: one year from despatch. |
| Gene Name | Homo sapiens caspase 2, apoptosis-related cysteine peptidase (CASP2), transcript variant 2 |
| Database Link | |
| Background | Caspases are a family of cysteine proteases that can be divided into the apoptotic and inflammatory caspase subfamilies. Unlike the apoptotic caspases, members of the inflammatory subfamily are generally not involved in cell death but are associated with the immune response to microbial pathogens. Members of this subfamily include caspase-1, -4, -5, and -12 and can activate proinflammatory cytokines such as IL-1b and IL-18. Although phylogenetically similar to this subfamily, Caspase-2 is thought to be involved in stress-induced apoptosis. Caspase-2 has two major isoforms; overexpression on the long form results in apoptosis while that of the short form suppresses cell death. |
| Synonyms | CASP-2, CASP2, ICH1, ICH-1 protease, NEDD2 |
| Reference Data | |
| Protein Families | Druggable Genome, Protease |
Documents
| Product Manuals |
| FAQs |
{0} Product Review(s)
0 Product Review(s)
Submit review
Be the first one to submit a review
Product Citations
*Delivery time may vary from web posted schedule. Occasional delays may occur due to unforeseen
complexities in the preparation of your product. International customers may expect an additional 1-2 weeks
in shipping.
Germany
Japan
United Kingdom
China