Macrophages (pan tissue fixed) Mouse Monoclonal Antibody [Clone ID: Ki-M2R]
CAT#: BM4003
Macrophages (pan tissue fixed) mouse monoclonal antibody, clone Ki-M2R, Purified
Specifications
| Product Data | |
| Clone Name | Ki-M2R |
| Applications | IHC |
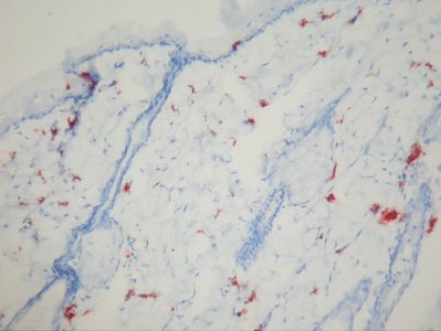
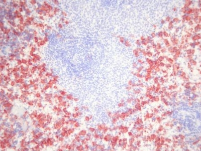
| Recommended Dilution | Immunohistochemistry on Frozen Sections: 0.25 µg/ml (1/800) Immunohistochemistry on Paraffin Sections: 5 µg/ml (1/40). Proteinase K pretreatment for antigen retrieval is recommended. Suggested Positive Control: Rat Spleen. |
| Reactivities | Rat |
| Host | Mouse |
| Isotype | IgG1 |
| Clonality | Monoclonal |
| Immunogen | Rat peritoneal Macrophages |
| Specificity | Ki-M2R is a reliable tool for indicating macrophage differentiation in vivo and in vitro. This antibody recognizes typical tissue macrophages and specifically discriminates between monocytes (Ki-M2R-) and macrophages (Ki-M2R+). It stains all resident macrophages including those of bone marrow, lymphatic sinuses, lymphoid follicles, splenic red pulp, and Kupffer cells in the liver. Langerhans cells, interdigitating reticulum cells, and dendritic reticulum cells of lymphoid follicles are not stained. Ki-M2R recognises a surface antigen of 45kD molecular weight as a single band under reducing conditions. The epitope has not been further characterized. Antigen Distribution Isolated Cells: In the bone marrow a minor number of macrophages reveal a strong reactivity whereas granulocytes, erythropoetic cells and megacaryocytes are negative. Immature accessory cells such as dendritic or interdigitating reticulum cells are also negative. Monocytes show a positive reaction when exposed to TPA or foreign material. Tissue Sections: Ki-M2R positive cells have been recognised as active phagocytes in serous cavities (peritoneal and pleural macrophages). Liver (Kupffer cells), spleen (macrophages of the red pulp), lymph nodes (macrophages of the pulp and sinus, tingible body macrophages), lung (approx. 50 % of alveolar macrophages) and connective tissue (histiocytes) are positively stained. Plasma cells (excluding stimulated monocytes) as well as sinus lining cells are negative. |
| Formulation | PBS, pH 7.2 State: Purified State: Lyophilized purified Ig fraction Stabilizer: 5 mg/ml BSA Preservative: 0.05% Kathon CG |
| Reconstitution Method | Restore in 0.5 ml distilled water to a concentration of 0.2 mg/ml. |
| Concentration | 0.2 mg/ml (after reconstitution) |
| Purification | Affinity Chromatography |
| Storage | Store lyophilized at 2-8°C for 6 months or at -20°C long term. After reconstitution store the antibody undiluted at 2-8°C for one month or (in aliquots) at -20°C long term. Avoid repeated freezing and thawing. |
| Stability | Shelf life: one year from despatch. |
| Background | Macrophages comprise of many forms of mononuclear phagocytes found in tissues. Mononuclear phagocytes arise from hematopoietic stem cells in the bone marrow. After passing through the monoblast and promonocyte states of the monocyte stage, they enter the blood, where they circulate for about 40 hours. They then enter tissues and increase in size, phagocytic activity, and lysosomal enzyme content becomming macrophages. Among the functions of macrophages are nonspecific phagocytosis and pinocytosis, specific phagocytosis of opsonized microorganisms mediated by Fc receptors and complement receptors, killing of ingested microorganisms, digestion and presentation of antigens to T and B lymphocytes, and secretion of a large number of diverse products, including many enzymes including lysozyme and collagenases, several complement components and coagulation factors, some prostaglandins and leukotrienes, and many regulatory molecules (Interferon, Interleukin 1). Among cells that are now recognised as macrophages are histiocytes, Kupffer cells, osteoclasts, microglial cells, synovial type A cells, interdigitating cells, and Langerhans cells (in normal tissues) and epithelioid cells and Langerhans-type and foreign-body-type multinucleated giant cells (in inflamed tissues). |
| Synonyms | Macrophage marker |
| Note | Protocol: Protocol with Frozen, ice-cold Acetone-Fixed Sections: The whole procedure is performed at room temperature 1. Wash in PBS 2. Block endogenous peroxidase 3. Wash in PBS 4. Block with 10% normal goat serum in PBS for 30 min. in a humid chamber 5. Incubate with primary antibody (dilution see datasheet) for 1h in a humid chamber 6. Wash in PBS 7. Incubate with secondary antibody (peroxidase-conjugated goat anti mouse IgG (H+L) minimal-cross reaction to rat) for 1 h in a humid chamber 8. Wash in PBS 9. Incubate with AEC substrate (3-amino-9-ethylcarbazol) for 12 min. 10. Wash in PBS 11. Counterstain with Mayer's hemalum Protocol with Formalin-Fixed, Paraffin-Embedded Sections: The whole procedure is performed at room temperature 1. Deparaffinize and rehydrate tissue section 2. Incubate the tissue section with proteinase K for 7 min. 3. Wash in distilled water 4. Block endogenous peroxidase 5. Wash in PBS 6. Block with 10% normal goat serum in PBS for 30 min. in a humid chamber 7. Incubate with primary antibody (dilution see datasheet) for 1h in a humid chamber 8. Wash in PBS 9. Incubate with secondary antibody (peroxidase-conjugated goat anti mouse IgG (H+L) minimal-cross reaction to rat) for 1h in a humid chamber 10. Wash in PBS 11. Incubate with AEC substrate (3-amino-9-ethylcarbazol) for 12 min. 12. Wash in PBS 13. Counterstain with Mayer's hemalum |
| Reference Data | |
Documents
| Product Manuals |
| FAQs |
{0} Product Review(s)
0 Product Review(s)
Submit review
Be the first one to submit a review
Product Citations
*Delivery time may vary from web posted schedule. Occasional delays may occur due to unforeseen
complexities in the preparation of your product. International customers may expect an additional 1-2 weeks
in shipping.
Germany
Japan
United Kingdom
China