FRS2 Rabbit Polyclonal Antibody
Other products for "FRS2"
Specifications
| Product Data | |
| Applications | IHC, WB |
| Recommended Dilution | WB: 1:500~1:1000, IHC: 1:50~1:100, ELISA: 1:10000 |
| Reactivities | Human, Mouse |
| Modifications | Phospho-specific |
| Host | Rabbit |
| Isotype | IgG |
| Clonality | Polyclonal |
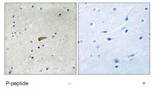
| Immunogen | The antiserum was produced against synthesized phosphopeptide derived from human FRS2 around the phosphorylation site of tyrosine 436 (L-N-YP-I-Q). |
| Formulation | Phosphate buffered saline (without Mg2+ and Ca2+), pH 7.4, 150mM NaCl, 0.02% sodium azide and 50% glycerol. |
| Concentration | lot specific |
| Purification | The antibody was affinity-purified from rabbit antiserum by affinity-chromatography using epitope-specific immunogen. |
| Conjugation | Unconjugated |
| Storage | Store at -20°C as received. |
| Stability | Stable for 12 months from date of receipt. |
| Gene Name | fibroblast growth factor receptor substrate 2 |
| Database Link | |
| Synonyms | FRS1A; FRS2A; FRS2alpha; SNT; SNT-1; SNT1 |
| Note | FRS2 (Phospho-Tyr436) antibody detects endogenous levels of FRS2 only when phosphorylated at tyrosine 436. |
| Reference Data | |
| Protein Families | Druggable Genome |
| Protein Pathways | Neurotrophin signaling pathway |
Documents
| Product Manuals |
| FAQs |
{0} Product Review(s)
0 Product Review(s)
Submit review
Be the first one to submit a review
Product Citations
*Delivery time may vary from web posted schedule. Occasional delays may occur due to unforeseen
complexities in the preparation of your product. International customers may expect an additional 1-2 weeks
in shipping.
Germany
Japan
United Kingdom
China