PAK5 Rabbit Polyclonal Antibody
Other products for "PAK5"
Specifications
| Product Data | |
| Applications | IHC, WB |
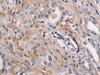
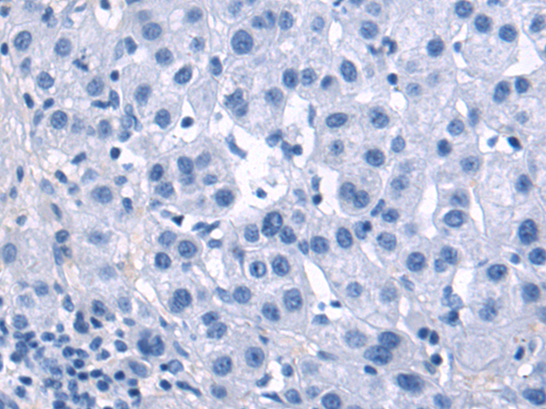
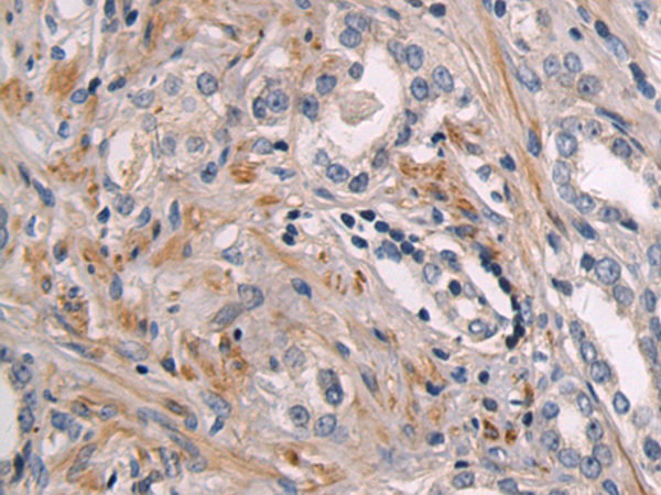
| Recommended Dilution | WB: 200-1000 WB positive control: A172 cell lysate IHC: 50-200 Positive control: Human liver cancer Predicted cell location: Cytoplasm |
| Reactivities | Human, Mouse, Rat |
| Host | Rabbit |
| Isotype | IgG |
| Clonality | Polyclonal |
| Immunogen | Fusion protein corresponding to C terminal 300 amino acids of human p21 protein (Cdc42/Rac)-activated kinase 7p21 protein (Cdc42/Rac)-activated kinase 7 |
| Formulation | PBS pH7.3, 0.05% NaN3, 50% glycerol |
| Concentration | lot specific |
| Purification | Antigen affinity purification |
| Conjugation | Unconjugated |
| Storage | Store at -20°C as received. |
| Stability | Stable for 12 months from date of receipt. |
| Predicted Protein Size | 81 kDa |
| Gene Name | p21 (RAC1) activated kinase 7 |
| Database Link | |
| Background | The protein encoded by this gene is a member of the PAK family of Ser/Thr protein kinases. PAK family members are known to be effectors of Rac/Cdc42 GTPases; which have been implicated in the regulation of cytoskeletal dynamics; proliferation; and cell survival signaling. This kinase contains a CDC42/Rac1 interactive binding (CRIB) motif; and has been shown to bind CDC42 in the presence of GTP. This kinase is predominantly expressed in brain. It is capable of promoting neurite outgrowth; and thus may play a role in neurite development. This kinase is associated with microtubule networks and induces microtubule stabilization. The subcellular localization of this kinase is tightly regulated during cell cycle progression. Alternatively spliced transcript variants encoding the same protein have been described. |
| Synonyms | PAK5 |
| Reference Data | |
| Protein Families | Druggable Genome, Protein Kinase |
| Protein Pathways | Axon guidance, ErbB signaling pathway, Focal adhesion, Regulation of actin cytoskeleton, Renal cell carcinoma, T cell receptor signaling pathway |
Documents
| Product Manuals |
| FAQs |
{0} Product Review(s)
0 Product Review(s)
Submit review
Be the first one to submit a review
Product Citations
*Delivery time may vary from web posted schedule. Occasional delays may occur due to unforeseen
complexities in the preparation of your product. International customers may expect an additional 1-2 weeks
in shipping.
Germany
Japan
United Kingdom
China