Cytochrome C (CYCS) Rabbit Polyclonal Antibody

CAT#: TA326782

Rabbit anti-CYCS Polyclonal Antibody


USD 410.00

2 Weeks*

Size
    • 100 ul

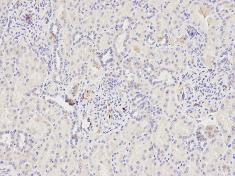
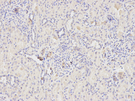
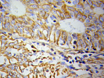
Product Images

Frequently bought together (3)
Recombinant protein of human cytochrome c, somatic (CYCS), nuclear gene encoding mitochondrial protein
    • 20 ug

USD 823.00


Transient overexpression lysate of cytochrome c, somatic (CYCS), nuclear gene encoding mitochondrial protein
    • 100 ug

USD 436.00


beta Actin Mouse Monoclonal Antibody, Clone OTI1, Loading Control
    • 30 ul

USD 159.00

Other products for "Cytochrome C"

Specifications

Product Data
Applications ELISA, ICC/IF, IF, IHC, WB
Recommended Dilution WB,1:500 - 1:1000
IHC-P,1:50 - 1:200
IF/ICC,1:50 - 1:200
ELISA,Recommended starting concentration is 1 μg/mL. Please optimize the concentration based on your specific assay requirements.
Reactivities Human, Mouse, Rat
Host Rabbit
Isotype IgG
Clonality Polyclonal
Formulation Buffer: PBS with 0.05% proclin300,50% glycerol,pH7.3.
Concentration lot specific
Purification Affinity purification
Conjugation Unconjugated
Storage Store at -20℃. Avoid freeze / thaw cycles.
Stability Stable for 12 months from date of receipt.
Predicted Protein Size 12kDa
Gene Name cytochrome c, somatic
Background This gene encodes a small heme protein that functions as a central component of the electron transport chain in mitochondria. The encoded protein associates with the inner membrane of the mitochondrion where it accepts electrons from cytochrome b and transfers them to the cytochrome oxidase complex. This protein is also involved in initiation of apoptosis. Mutations in this gene are associated with autosomal dominant nonsyndromic thrombocytopenia. Numerous processed pseudogenes of this gene are found throughout the human genome.
Synonyms CYC; HCS; THC4
Reference Data
Protein Families Druggable Genome
Protein Pathways Alzheimer's disease, Amyotrophic lateral sclerosis (ALS), Apoptosis, Colorectal cancer, Huntington's disease, p53 signaling pathway, Parkinson's disease, Pathways in cancer, Small cell lung cancer, Viral myocarditis

{0} Product Review(s)

0 Product Review(s) Submit review

Be the first one to submit a review

Product Citations

*Delivery time may vary from web posted schedule. Occasional delays may occur due to unforeseen complexities in the preparation of your product. International customers may expect an additional 1-2 weeks in shipping.