FOXP3 Rabbit Polyclonal Antibody
Frequently bought together (2)
Transient overexpression lysate of forkhead box P3 (FOXP3), transcript variant 1
USD 665.00
Other products for "FOXP3"
Specifications
| Product Data | |
| Applications | FC, IHC, WB |
| Recommended Dilution | Single Cell Western: 100 ug/mL, Western Blot: 1:2000, Flow Cytometry: 1:8000, Immunocytochemistry/ Immunofluorescence: 1:500, Immunoprecipitation, Immunohistochemistry-Paraffin: 1:400, Immunoblotting, Immunohistochemistry: 1:400, Dual RNAscope ISH-IHC |
| Reactivities | Human, Mouse |
| Host | Rabbit |
| Clonality | Polyclonal |
| Immunogen | A peptide corresponding to amino acids 43-100 of mouse FOXP3. [Swiss-Prot# Q99JB6] |
| Formulation | Tris-citrate/phosphate, pH 7, 0.1% Sodium azide. Store at 4C. Do not freeze. |
| Concentration | lot specific |
| Purification | Protein G purified |
| Conjugation | Unconjugated |
| Storage | Store at -20°C as received. |
| Stability | Stable for 12 months from date of receipt. |
| Gene Name | forkhead box P3 |
| Database Link | |
| Background | FOXP3 (a 381 amino acid protein) is a member of the forkhead/winged-helix family of transcriptional regulators and is highly conserved across mammals. FOXP3 is essential for normal immune homeostasis. FOXP3 is stably and constitutively expressed at a high level in CD25 + CD4 positive regulatory T cells, a low level in CD4-positive/CD25-negative cells, and is absent in CD4-negative/CD8-positive T cells. FOXP3 may be a master regulatory gene and a more specific marker of regulatory T cells than other T cells. |
| Synonyms | AIID; DIETER; IPEX; JM2; PIDX; XPID |
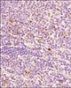
| Note | This FOXP3 antibody can be used for Immunoprecipitation, Immunohistochemistry paraffin embeded sections and Western blot analysis, where a band is seen ~48 kDa in FOXP3 transfected and CD25/CD4 positive regulatory T cell lysates. In IP transfected FOXP3-HA tagged proteins were used. In IHC-P, staining was observed in the nuclei of mouse spleen cells. Prior to immunostaining paraffin tissues, antigen retrieval with sodium citrate buffer (pH 6.0) is recommended. |
| Reference Data | |
| Protein Families | Transcription Factors |
Documents
| Product Manuals |
| FAQs |
| SDS |
{0} Product Review(s)
0 Product Review(s)
Submit review
Be the first one to submit a review
Product Citations
*Delivery time may vary from web posted schedule. Occasional delays may occur due to unforeseen
complexities in the preparation of your product. International customers may expect an additional 1-2 weeks
in shipping.
Germany
Japan
United Kingdom
China