Gemin 5 (GEMIN5) Rabbit Polyclonal Antibody
Other products for "GEMIN5"
Specifications
| Product Data | |
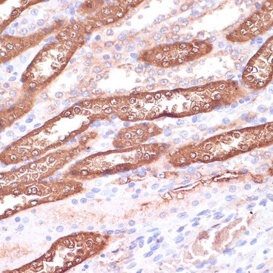
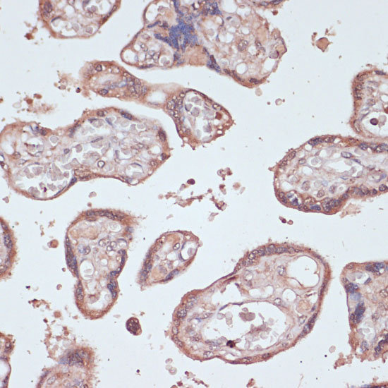
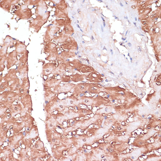
| Applications | IHC, WB |
| Recommended Dilution | WB,1:500 - 1:2000 IHC,1:50 - 1:100 |
| Reactivities | Human, Mouse, Rat |
| Host | Rabbit |
| Isotype | IgG |
| Clonality | Polyclonal |
| Immunogen | Recombinant fusion protein containing a sequence corresponding to amino acids 750-950 of human GEMIN5 (NP_056280.2). |
| Formulation | Buffer: PBS with 0.02% sodium azide,50% glycerol,pH7.3. |
| Concentration | lot specific |
| Purification | Affinity purification |
| Conjugation | Unconjugated |
| Storage | Store at -20℃. Avoid freeze / thaw cycles. |
| Stability | Shelf life: one year from despatch. |
| Predicted Protein Size | 168kDa |
| Gene Name | gem nuclear organelle associated protein 5 |
| Database Link | |
| Background | This gene encodes a WD repeat protein that is a component of the survival of motor neurons (SMN) complex. The SMN complex plays a critical role in mRNA splicing through the assembly of spliceosomal small nuclear ribonucleoproteins (snRNPs), and may also mediate the assembly and transport of other classes of ribonucleoproteins. The encoded protein is the snRNA-binding component of the SMN complex. Dysregulation of this gene may play a role in alternative mRNA splicing and tumor cell motility. Alternatively spliced transcript variants encoding multiple isoforms have been observed for this gene. |
| Synonyms | DKFZp586M1824; MGC142174 |
| Reference Data | |
Documents
| Product Manuals |
| FAQs |
| SDS |
{0} Product Review(s)
0 Product Review(s)
Submit review
Be the first one to submit a review
Product Citations
*Delivery time may vary from web posted schedule. Occasional delays may occur due to unforeseen
complexities in the preparation of your product. International customers may expect an additional 1-2 weeks
in shipping.
Germany
Japan
United Kingdom
China