MTLRP (GHRL) Rabbit Polyclonal Antibody
Other products for "GHRL"
Specifications
| Product Data | |
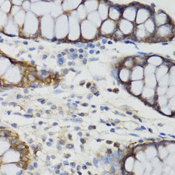
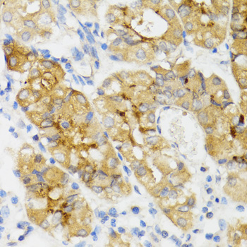
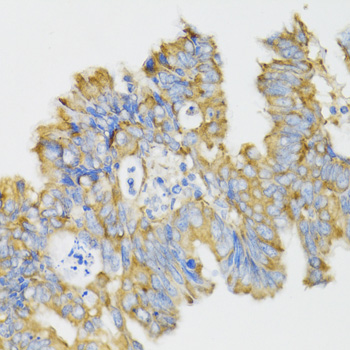
| Applications | IHC, WB |
| Recommended Dilution | WB,1:500 - 1:2000 IHC,1:50 - 1:200 |
| Reactivities | Human, Rat |
| Modifications | Unmodified |
| Host | Rabbit |
| Isotype | IgG |
| Clonality | Polyclonal |
| Immunogen | Recombinant fusion protein containing a sequence corresponding to amino acids 1-117 of human GHRL (NP_057446.1). |
| Formulation | Buffer: PBS with 0.02% sodium azide,50% glycerol,pH7.3. |
| Concentration | lot specific |
| Purification | Affinity purification |
| Conjugation | Unconjugated |
| Storage | Store at -20℃. Avoid freeze / thaw cycles. |
| Stability | Shelf life: one year from despatch. |
| Predicted Protein Size | 7kDa/9kDa/11kDa/12kDa |
| Gene Name | ghrelin/obestatin prepropeptide |
| Database Link | |
| Background | This gene encodes the ghrelin-obestatin preproprotein that is cleaved to yield two peptides, ghrelin and obestatin. Ghrelin is a powerful appetite stimulant and plays an important role in energy homeostasis. Its secretion is initiated when the stomach is empty, whereupon it binds to the growth hormone secretagogue receptor in the hypothalamus which results in the secretion of growth hormone (somatotropin). Ghrelin is thought to regulate multiple activities, including hunger, reward perception via the mesolimbic pathway, gastric acid secretion, gastrointestinal motility, and pancreatic glucose-stimulated insulin secretion. It was initially proposed that obestatin plays an opposing role to ghrelin by promoting satiety and thus decreasing food intake, but this action is still debated. Recent reports suggest multiple metabolic roles for obestatin, including regulating adipocyte function and glucose metabolism. Alternative splicing results in multiple transcript variants. In addition, antisense transcripts for this gene have been identified and may potentially regulate ghrelin-obestatin preproprotein expression. |
| Synonyms | ghrelin; ghrelin/obestatin; MTLRP; obestatin; OTTHUMP00000207794; OTTHUMP00000207795; OTTHUMP00000207796; OTTHUMP00000207798 |
| Reference Data | |
Documents
| Product Manuals |
| FAQs |
| SDS |
{0} Product Review(s)
0 Product Review(s)
Submit review
Be the first one to submit a review
Product Citations
*Delivery time may vary from web posted schedule. Occasional delays may occur due to unforeseen
complexities in the preparation of your product. International customers may expect an additional 1-2 weeks
in shipping.
Germany
Japan
United Kingdom
China