Gastrin Releasing Peptide (GRP) Rabbit Polyclonal Antibody
Other products for "GRP"
Specifications
| Product Data | |
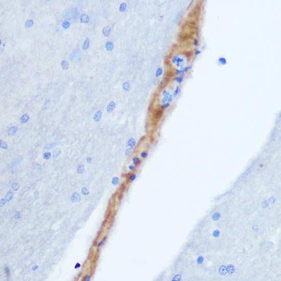
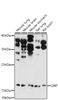
| Applications | IF, IHC, WB |
| Recommended Dilution | WB,1:500 - 1:2000 IHC,1:50 - 1:200 IF,1:50 - 1:200 |
| Reactivities | Human, Mouse, Rat |
| Modifications | Unmodified |
| Host | Rabbit |
| Isotype | IgG |
| Clonality | Polyclonal |
| Immunogen | Recombinant fusion protein containing a sequence corresponding to amino acids 1-148 of human GRP (NP_002082.2). |
| Formulation | Buffer: PBS with 0.02% sodium azide,50% glycerol,pH7.3. |
| Concentration | lot specific |
| Purification | Affinity purification |
| Conjugation | Unconjugated |
| Storage | Store at -20℃. Avoid freeze / thaw cycles. |
| Stability | Shelf life: one year from despatch. |
| Predicted Protein Size | 15kDa/16kDa |
| Gene Name | gastrin releasing peptide |
| Database Link | |
| Background | This gene encodes a member of the bombesin-like family of gastrin-releasing peptides. The encoded preproprotein is proteolytically processed to generate two peptides, gastrin-releasing peptide and neuromedin-C. These peptides regulate numerous functions of the gastrointestinal and central nervous systems, including release of gastrointestinal hormones, smooth muscle cell contraction, and epithelial cell proliferation. These peptides are also likely to play a role in human cancers of the lung, colon, stomach, pancreas, breast, and prostate. Alternative splicing results in multiple transcript variants, at least one of which encodes a preproprotein that is proteolytically processed. |
| Synonyms | BN; bombesin; GRP-10; preproGRP; proGRP |
| Reference Data | |
Documents
| Product Manuals |
| FAQs |
| SDS |
{0} Product Review(s)
0 Product Review(s)
Submit review
Be the first one to submit a review
Product Citations
*Delivery time may vary from web posted schedule. Occasional delays may occur due to unforeseen
complexities in the preparation of your product. International customers may expect an additional 1-2 weeks
in shipping.
Germany
Japan
United Kingdom
China