CED6 (GULP1) Rabbit Polyclonal Antibody
Other products for "GULP1"
Specifications
| Product Data | |
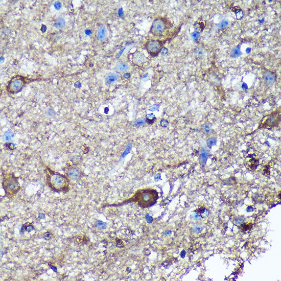
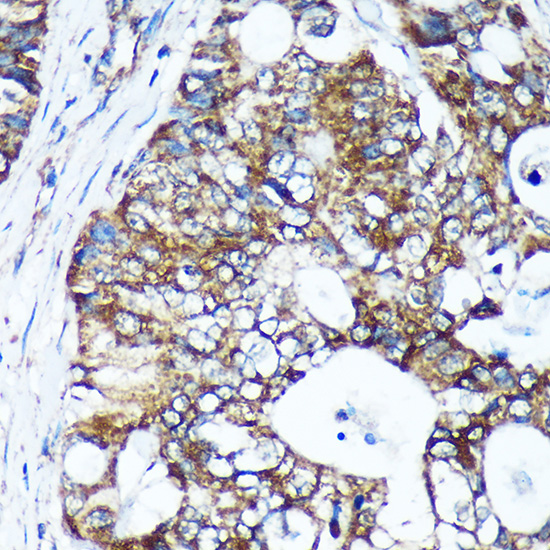
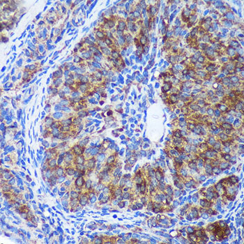
| Applications | IHC, WB |
| Recommended Dilution | WB,1:500 - 1:2000 IHC,1:50 - 1:200 |
| Reactivities | Human, Mouse, Rat |
| Modifications | Unmodified |
| Host | Rabbit |
| Isotype | IgG |
| Clonality | Polyclonal |
| Immunogen | Recombinant fusion protein containing a sequence corresponding to amino acids 1-130 of human GULP1 (NP_057399.1). |
| Formulation | Buffer: PBS with 0.02% sodium azide,50% glycerol,pH7.3. |
| Concentration | lot specific |
| Purification | Affinity purification |
| Conjugation | Unconjugated |
| Storage | Store at -20℃. Avoid freeze / thaw cycles. |
| Stability | Shelf life: one year from despatch. |
| Predicted Protein Size | 19kDa/22kDa/33kDa/34kDa |
| Gene Name | GULP, engulfment adaptor PTB domain containing 1 |
| Database Link | |
| Background | The protein encoded by this gene is an adapter protein necessary for the engulfment of apoptotic cells by phagocytes. Several transcript variants, some protein coding and some thought not to be protein coding, have been found for this gene. |
| Synonyms | CED-6; CED6; FLJ31156; GULP; OTTHUMP00000205908; OTTHUMP00000205909; OTTHUMP00000205911 |
| Reference Data | |
Documents
| Product Manuals |
| FAQs |
| SDS |
{0} Product Review(s)
0 Product Review(s)
Submit review
Be the first one to submit a review
Product Citations
*Delivery time may vary from web posted schedule. Occasional delays may occur due to unforeseen
complexities in the preparation of your product. International customers may expect an additional 1-2 weeks
in shipping.
Germany
Japan
United Kingdom
China