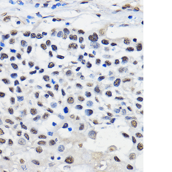
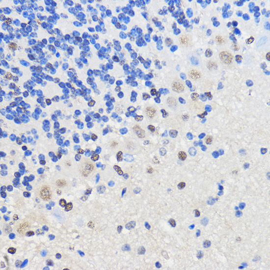
hnRNP U (HNRNPU) Rabbit Polyclonal Antibody
Other products for "HNRNPU"
Specifications
| Product Data | |
| Applications | IF, IHC, IP, WB |
| Recommended Dilution | WB,1:500 - 1:2000 IHC,1:50 - 1:200 IF,1:50 - 1:200 IP,1:50 - 1:200 |
| Reactivities | Human, Mouse, Rat |
| Modifications | Unmodified |
| Host | Rabbit |
| Isotype | IgG |
| Clonality | Polyclonal |
| Immunogen | Recombinant fusion protein containing a sequence corresponding to amino acids 608-825 of human hnRNP U (NP_114032.2). |
| Formulation | Buffer: PBS with 0.02% sodium azide,50% glycerol,pH7.3. |
| Concentration | lot specific |
| Purification | Affinity purification |
| Conjugation | Unconjugated |
| Storage | Store at -20℃. Avoid freeze / thaw cycles. |
| Stability | Shelf life: one year from despatch. |
| Predicted Protein Size | 88kDa/90kDa |
| Gene Name | heterogeneous nuclear ribonucleoprotein U (scaffold attachment factor A) |
| Database Link | |
| Background | This gene encodes a member of a family of proteins that bind nucleic acids and function in the formation of ribonucleoprotein complexes in the nucleus with heterogeneous nuclear RNA (hnRNA). The encoded protein has affinity for both RNA and DNA, and binds scaffold-attached region (SAR) DNA. Mutations in this gene have been associated with epileptic encephalopathy, early infantile, 54. A pseudogene of this gene has been identified on chromosome 14. |
| Synonyms | HNRPU; p120; pp120; SAF-A; SAFA; U21.1 |
| Reference Data | |
Documents
| Product Manuals |
| FAQs |
| SDS |
{0} Product Review(s)
0 Product Review(s)
Submit review
Be the first one to submit a review
Product Citations
*Delivery time may vary from web posted schedule. Occasional delays may occur due to unforeseen
complexities in the preparation of your product. International customers may expect an additional 1-2 weeks
in shipping.
Germany
Japan
United Kingdom
China