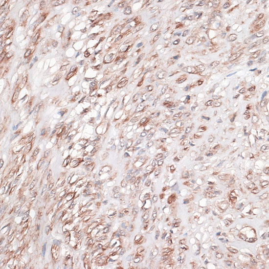
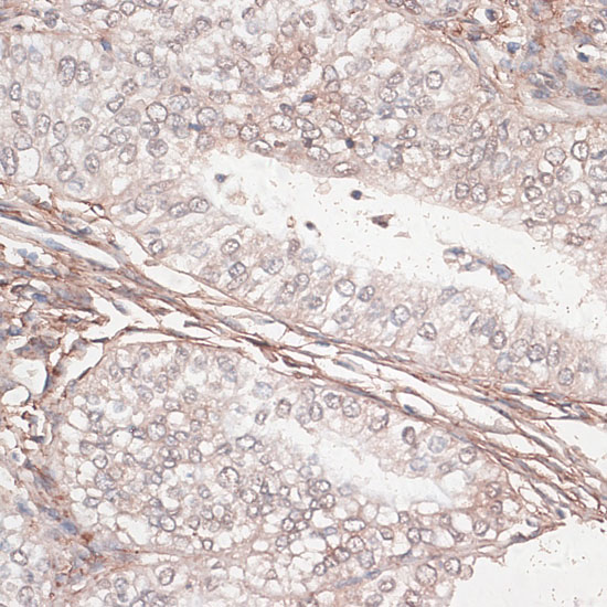
Laminin gamma 1 (LAMC1) Rabbit Polyclonal Antibody
Other products for "LAMC1"
Specifications
| Product Data | |
| Applications | IHC, WB |
| Recommended Dilution | WB,1:500 - 1:2000 IHC,1:50 - 1:200 |
| Reactivities | Human, Mouse, Rat |
| Host | Rabbit |
| Isotype | IgG |
| Clonality | Polyclonal |
| Immunogen | Recombinant fusion protein containing a sequence corresponding to amino acids 1300-1609 of human LAMC1 (NP_002284.3). |
| Formulation | Buffer: PBS with 0.02% sodium azide,50% glycerol,pH7.3. |
| Concentration | lot specific |
| Purification | Affinity purification |
| Conjugation | Unconjugated |
| Storage | Store at -20℃. Avoid freeze / thaw cycles. |
| Stability | Shelf life: one year from despatch. |
| Predicted Protein Size | 177kDa |
| Gene Name | laminin subunit gamma 1 |
| Database Link | |
| Background | Laminins, a family of extracellular matrix glycoproteins, are the major noncollagenous constituent of basement membranes. They have been implicated in a wide variety of biological processes including cell adhesion, differentiation, migration, signaling, neurite outgrowth and metastasis. Laminins, composed of 3 non identical chains: laminin alpha, beta and gamma. Some of the chains have been shown to differ with respect to their tissue distribution, presumably reflecting diverse functions in vivo. This gene encodes the gamma chain isoform laminin, gamma 1. The gamma 1 chain, formerly thought to be a beta chain, contains structural domains similar to beta chains, however, lacks the short alpha region separating domains I and II. The structural organization of this gene also suggested that it had diverged considerably from the beta chain genes. Embryos of transgenic mice in which both alleles of the gamma 1 chain gene were inactivated by homologous recombination, lacked basement membranes, indicating that laminin, gamma 1 chain is necessary for laminin heterotrimer assembly. It has been inferred by analogy with the strikingly similar 3' UTR sequence in mouse laminin gamma 1 cDNA, that multiple polyadenylation sites are utilized in human to generate the 2 different sized mRNAs (5.5 and 7.5 kb) seen on Northern analysis. |
| Synonyms | LAMB2; MGC87297 |
| Reference Data | |
Documents
| Product Manuals |
| FAQs |
| SDS |
{0} Product Review(s)
0 Product Review(s)
Submit review
Be the first one to submit a review
Product Citations
*Delivery time may vary from web posted schedule. Occasional delays may occur due to unforeseen
complexities in the preparation of your product. International customers may expect an additional 1-2 weeks
in shipping.
Germany
Japan
United Kingdom
China