NAT13 (NAA50) Rabbit Polyclonal Antibody
Other products for "NAA50"
Specifications
| Product Data | |
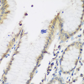
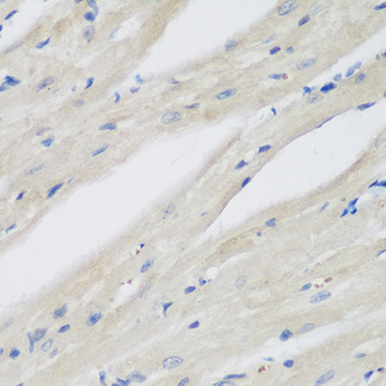
| Applications | IF, IHC, WB |
| Recommended Dilution | WB,1:200 - 1:2000 IHC,1:50 - 1:200 IF,1:50 - 1:200 |
| Reactivities | Human, Mouse, Rat |
| Modifications | Unmodified |
| Host | Rabbit |
| Isotype | IgG |
| Clonality | Polyclonal |
| Immunogen | Recombinant fusion protein containing a sequence corresponding to amino acids 1-169 of human NAA50 (NP_079422.1). |
| Formulation | Buffer: PBS with 0.02% sodium azide,50% glycerol,pH7.3. |
| Concentration | lot specific |
| Purification | Affinity purification |
| Conjugation | Unconjugated |
| Storage | Store at -20℃. Avoid freeze / thaw cycles. |
| Stability | Shelf life: one year from despatch. |
| Predicted Protein Size | 9kDa/19kDa |
| Gene Name | N(alpha)-acetyltransferase 50, NatE catalytic subunit |
| Database Link | |
| Background | N-alpha-acetyltransferase that acetylates the N-terminus of proteins that retain their initiating methionine. Has a broad substrate specificity: able to acetylate the initiator methionine of most peptides, except for those with a proline in second position. Also displays N-epsilon-acetyltransferase activity by mediating acetylation of the side chain of specific lysines on proteins. Autoacetylates in vivo. The relevance of N-epsilon-acetyltransferase activity is however unclear: able to acetylate H4 in vitro, but this result has not been confirmed in vivo. Component of N-alpha-acetyltransferase complexes containing NAA10 and NAA15, which has N-alpha-acetyltransferase activity. Does not influence the acetyltransferase activity of NAA10. However, it negatively regulates the N-alpha-acetyltransferase activity of the N-terminal acetyltransferase A complex (also called the NatA complex. The multiprotein complexes probably constitute the major contributor for N-terminal acetylation at the ribosome exit tunnel, with NAA10 acetylating all amino termini that are devoid of methionine and NAA50 acetylating other peptides. Required for sister chromatid cohesion during mitosis by promoting binding of CDCA5/sororin to cohesin: may act by counteracting the function of NAA10. |
| Synonyms | hNAT5; hSAN; MAK3; NAT5; NAT13; SAN |
| Reference Data | |
Documents
| Product Manuals |
| FAQs |
| SDS |
{0} Product Review(s)
0 Product Review(s)
Submit review
Be the first one to submit a review
Product Citations
*Delivery time may vary from web posted schedule. Occasional delays may occur due to unforeseen
complexities in the preparation of your product. International customers may expect an additional 1-2 weeks
in shipping.
Germany
Japan
United Kingdom
China