NAT2 Rabbit Polyclonal Antibody
Other products for "NAT2"
Specifications
| Product Data | |
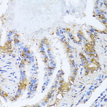
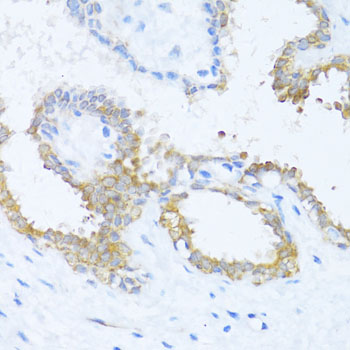
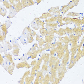
| Applications | IHC, WB |
| Recommended Dilution | WB,1:500 - 1:2000 IHC,1:50 - 1:200 |
| Reactivities | Human, Mouse, Rat |
| Modifications | Unmodified |
| Host | Rabbit |
| Isotype | IgG |
| Clonality | Polyclonal |
| Immunogen | Recombinant fusion protein containing a sequence corresponding to amino acids 171-290 of human NAT2 (NP_000006.2). |
| Formulation | Buffer: PBS with 0.02% sodium azide,50% glycerol,pH7.3. |
| Concentration | lot specific |
| Purification | Affinity purification |
| Conjugation | Unconjugated |
| Storage | Store at -20℃. Avoid freeze / thaw cycles. |
| Stability | Shelf life: one year from despatch. |
| Predicted Protein Size | 33kDa |
| Gene Name | N-acetyltransferase 2 (arylamine N-acetyltransferase) |
| Database Link | |
| Background | This gene encodes an enzyme that functions to both activate and deactivate arylamine and hydrazine drugs and carcinogens. Polymorphisms in this gene are responsible for the N-acetylation polymorphism in which human populations segregate into rapid, intermediate, and slow acetylator phenotypes. Polymorphisms in this gene are also associated with higher incidences of cancer and drug toxicity. A second arylamine N-acetyltransferase gene (NAT1) is located near this gene (NAT2). |
| Synonyms | AAC2; NAT-2; PNAT |
| Reference Data | |
Documents
| Product Manuals |
| FAQs |
| SDS |
{0} Product Review(s)
0 Product Review(s)
Submit review
Be the first one to submit a review
Product Citations
*Delivery time may vary from web posted schedule. Occasional delays may occur due to unforeseen
complexities in the preparation of your product. International customers may expect an additional 1-2 weeks
in shipping.
Germany
Japan
United Kingdom
China