RAC2 Rabbit Polyclonal Antibody
Other products for "RAC2"
Specifications
| Product Data | |
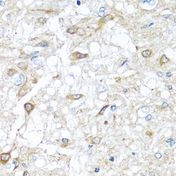
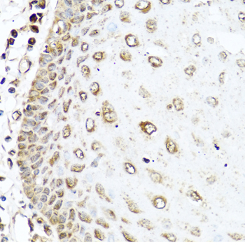
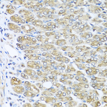
| Applications | IF, IHC, WB |
| Recommended Dilution | WB,1:500 - 1:2000 IHC,1:50 - 1:100 IF,1:50 - 1:100 |
| Reactivities | Human, Mouse, Rat |
| Modifications | Unmodified |
| Host | Rabbit |
| Isotype | IgG |
| Clonality | Polyclonal |
| Immunogen | Recombinant fusion protein containing a sequence corresponding to amino acids 1-192 of human RAC2 (NP_002863.1). |
| Formulation | Buffer: PBS with 0.02% sodium azide,50% glycerol,pH7.3. |
| Concentration | lot specific |
| Purification | Affinity purification |
| Conjugation | Unconjugated |
| Storage | Store at -20℃. Avoid freeze / thaw cycles. |
| Stability | Shelf life: one year from despatch. |
| Predicted Protein Size | 21kDa |
| Gene Name | ras-related C3 botulinum toxin substrate 2 (rho family, small GTP binding protein Rac2) |
| Database Link | |
| Background | This gene encodes a member of the Ras superfamily of small guanosine triphosphate (GTP)-metabolizing proteins. The encoded protein localizes to the plasma membrane, where it regulates diverse processes, such as secretion, phagocytosis, and cell polarization. Activity of this protein is also involved in the generation of reactive oxygen species. Mutations in this gene are associated with neutrophil immunodeficiency syndrome. There is a pseudogene for this gene on chromosome 6. |
| Synonyms | EN-7; Gx; HSPC022; p21-Rac2 |
| Reference Data | |
Documents
| Product Manuals |
| FAQs |
| SDS |
{0} Product Review(s)
0 Product Review(s)
Submit review
Be the first one to submit a review
Product Citations
*Delivery time may vary from web posted schedule. Occasional delays may occur due to unforeseen
complexities in the preparation of your product. International customers may expect an additional 1-2 weeks
in shipping.
Germany
Japan
United Kingdom
China