RALGDS Rabbit Polyclonal Antibody
Other products for "RALGDS"
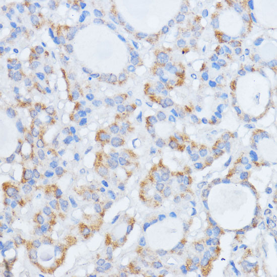
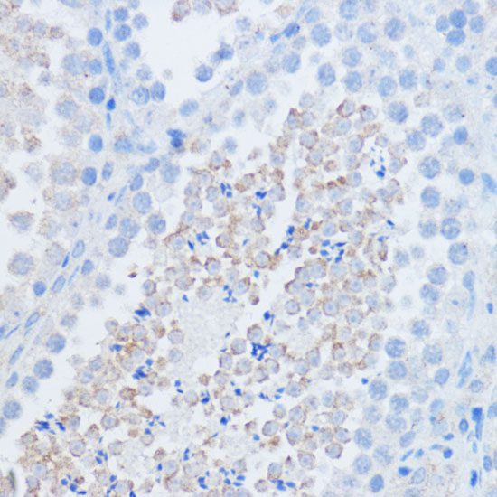
Specifications
| Product Data | |
| Applications | IF, IHC, WB |
| Recommended Dilution | WB,1:500 - 1:2000 IHC,1:50 - 1:200 IF,1:50 - 1:200 |
| Reactivities | Human, Mouse, Rat |
| Host | Rabbit |
| Isotype | IgG |
| Clonality | Polyclonal |
| Immunogen | Recombinant protein of human RALGDS. |
| Formulation | Buffer: PBS with 0.02% sodium azide,50% glycerol,pH7.3. |
| Concentration | lot specific |
| Purification | Affinity purification |
| Conjugation | Unconjugated |
| Storage | Store at -20℃. Avoid freeze / thaw cycles. |
| Stability | Shelf life: one year from despatch. |
| Gene Name | ral guanine nucleotide dissociation stimulator |
| Database Link | |
| Background | Guanine nucleotide dissociation stimulators (GDSs, or exchange factors), such as RALGDS, are effectors of Ras-related GTPases (see MIM 190020) that participate in signaling for a variety of cellular processes.[supplied by OMIM, Nov 2010] |
| Synonyms | FLJ20922; KIAA1308; RalGEF; RGDS; RGF |
| Reference Data | |
Documents
| Product Manuals |
| FAQs |
| SDS |
{0} Product Review(s)
0 Product Review(s)
Submit review
Be the first one to submit a review
Product Citations
*Delivery time may vary from web posted schedule. Occasional delays may occur due to unforeseen
complexities in the preparation of your product. International customers may expect an additional 1-2 weeks
in shipping.
Germany
Japan
United Kingdom
China