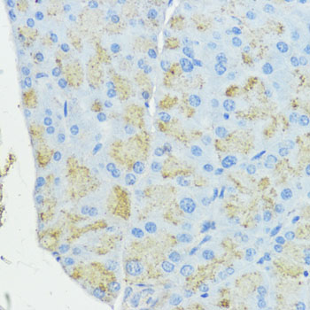
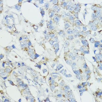
Superoxide Dismutase 3 (SOD3) Rabbit Polyclonal Antibody
Other products for "SOD3"
Specifications
| Product Data | |
| Applications | IF, IHC, WB |
| Recommended Dilution | WB,1:500 - 1:2000 IHC,1:50 - 1:200 IF,1:50 - 1:200 |
| Reactivities | Human, Mouse, Rat |
| Modifications | Unmodified |
| Host | Rabbit |
| Isotype | IgG |
| Clonality | Polyclonal |
| Immunogen | Recombinant fusion protein containing a sequence corresponding to amino acids 19-160 of human SOD3 (NP_003093.2). |
| Formulation | Buffer: PBS with 0.02% sodium azide,50% glycerol,pH7.3. |
| Concentration | lot specific |
| Purification | Affinity purification |
| Conjugation | Unconjugated |
| Storage | Store at -20℃. Avoid freeze / thaw cycles. |
| Stability | Shelf life: one year from despatch. |
| Predicted Protein Size | 25kDa |
| Gene Name | superoxide dismutase 3, extracellular |
| Database Link | |
| Background | This gene encodes a member of the superoxide dismutase (SOD) protein family. SODs are antioxidant enzymes that catalyze the conversion of superoxide radicals into hydrogen peroxide and oxygen, which may protect the brain, lungs, and other tissues from oxidative stress. Proteolytic processing of the encoded protein results in the formation of two distinct homotetramers that differ in their ability to interact with the extracellular matrix (ECM). Homotetramers consisting of the intact protein, or type C subunit, exhibit high affinity for heparin and are anchored to the ECM. Homotetramers consisting of a proteolytically cleaved form of the protein, or type A subunit, exhibit low affinity for heparin and do not interact with the ECM. A mutation in this gene may be associated with increased heart disease risk. |
| Synonyms | EC-SOD; MGC20077 |
| Reference Data | |
Documents
| Product Manuals |
| FAQs |
| SDS |
{0} Product Review(s)
0 Product Review(s)
Submit review
Be the first one to submit a review
Product Citations
*Delivery time may vary from web posted schedule. Occasional delays may occur due to unforeseen
complexities in the preparation of your product. International customers may expect an additional 1-2 weeks
in shipping.
Germany
Japan
United Kingdom
China