KAP1 (TRIM28) Rabbit Polyclonal Antibody
Other products for "TRIM28"
Specifications
| Product Data | |
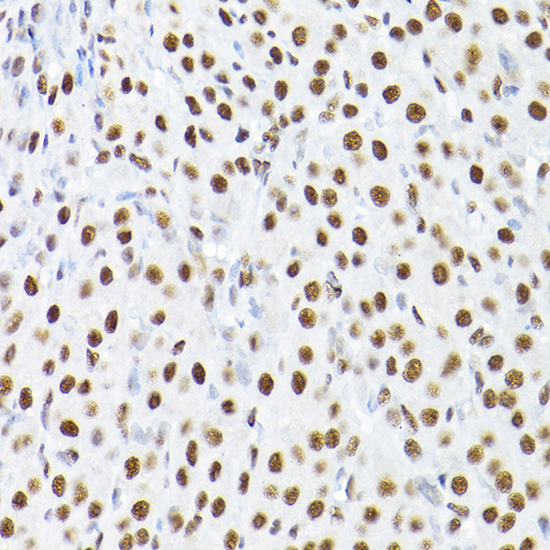
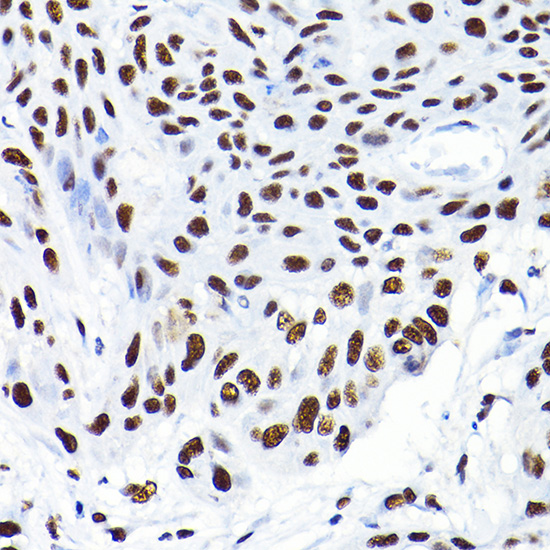
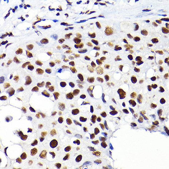
| Applications | IF, IHC, IP, WB |
| Recommended Dilution | WB,1:1000 - 1:3000 IHC,1:100 - 1:200 IF,1:50 - 1:200 IP,1:50 - 1:200 |
| Reactivities | Human, Mouse, Rat |
| Modifications | Unmodified |
| Host | Rabbit |
| Isotype | IgG |
| Clonality | Polyclonal |
| Immunogen | Recombinant fusion protein containing a sequence corresponding to amino acids 576-835 of human KAP1/KAP1/TRIM28 (NP_005753.1). |
| Formulation | Buffer: PBS with 0.02% sodium azide,50% glycerol,pH7.3. |
| Concentration | lot specific |
| Purification | Affinity purification |
| Conjugation | Unconjugated |
| Storage | Store at -20℃. Avoid freeze / thaw cycles. |
| Stability | Shelf life: one year from despatch. |
| Predicted Protein Size | 79kDa/88kDa |
| Gene Name | tripartite motif containing 28 |
| Database Link | |
| Background | The protein encoded by this gene mediates transcriptional control by interaction with the Kruppel-associated box repression domain found in many transcription factors. The protein localizes to the nucleus and is thought to associate with specific chromatin regions. The protein is a member of the tripartite motif family. This tripartite motif includes three zinc-binding domains, a RING, a B-box type 1 and a B-box type 2, and a coiled-coil region. |
| Synonyms | FLJ29029; KAP-1; KAP1; KRIP-1; RNF96; TF1B; TIF1-beta; TIF1B |
| Reference Data | |
Documents
| Product Manuals |
| FAQs |
| SDS |
{0} Product Review(s)
0 Product Review(s)
Submit review
Be the first one to submit a review
Product Citations
*Delivery time may vary from web posted schedule. Occasional delays may occur due to unforeseen
complexities in the preparation of your product. International customers may expect an additional 1-2 weeks
in shipping.
Germany
Japan
United Kingdom
China