TRPC6 Rabbit Polyclonal Antibody
Other products for "TRPC6"
Specifications
| Product Data | |
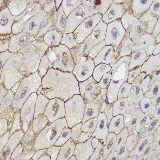
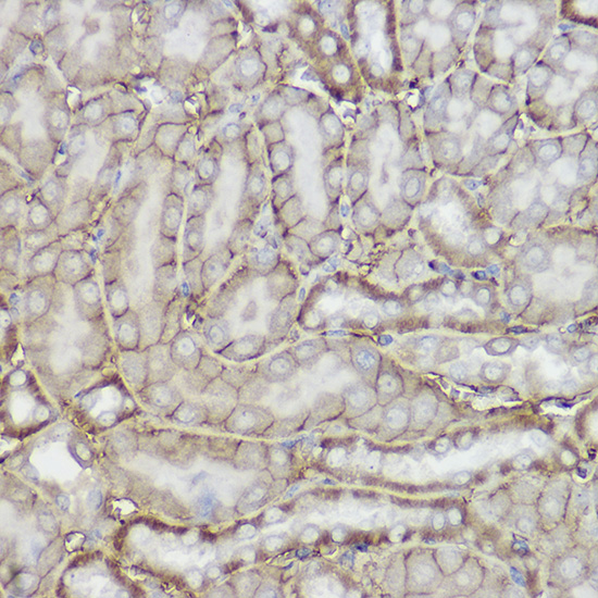
| Applications | IHC, WB |
| Recommended Dilution | WB,1:500 - 1:2000 IHC,1:50 - 1:200 |
| Reactivities | Human, Mouse, Rat |
| Modifications | Unmodified |
| Host | Rabbit |
| Isotype | IgG |
| Clonality | Polyclonal |
| Immunogen | A synthetic peptide corresponding to a sequence within amino acids 500-600 of human TRPC6 (NP_004612.2). |
| Formulation | Buffer: PBS with 0.02% sodium azide,50% glycerol,pH7.3. |
| Concentration | lot specific |
| Purification | Affinity purification |
| Conjugation | Unconjugated |
| Storage | Store at -20℃. Avoid freeze / thaw cycles. |
| Stability | Shelf life: one year from despatch. |
| Predicted Protein Size | 93kDa/100kDa/106kDa |
| Gene Name | transient receptor potential cation channel subfamily C member 6 |
| Database Link | |
| Background | The protein encoded by this gene forms a receptor-activated calcium channel in the cell membrane. The channel is activated by diacylglycerol and is thought to be under the control of a phosphatidylinositol second messenger system. Activation of this channel occurs independently of protein kinase C and is not triggered by low levels of intracellular calcium. Defects in this gene are a cause of focal segmental glomerulosclerosis 2 (FSGS2). |
| Synonyms | FLJ11098; FLJ14863; FSGS2; TRP6 |
| Reference Data | |
Documents
| Product Manuals |
| FAQs |
| SDS |
{0} Product Review(s)
0 Product Review(s)
Submit review
Be the first one to submit a review
Product Citations
*Delivery time may vary from web posted schedule. Occasional delays may occur due to unforeseen
complexities in the preparation of your product. International customers may expect an additional 1-2 weeks
in shipping.
Germany
Japan
United Kingdom
China