TXN Rabbit Polyclonal Antibody
Other products for "TXN"
Specifications
| Product Data | |
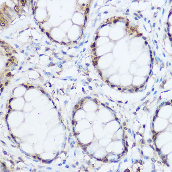
| Applications | IF, IHC, IP, WB |
| Recommended Dilution | WB,1:500 - 1:2000 IHC,1:50 - 1:200 IF,1:50 - 1:200 IP,1:20 - 1:50 |
| Reactivities | Human, Mouse |
| Modifications | Unmodified |
| Host | Rabbit |
| Isotype | IgG |
| Clonality | Polyclonal |
| Immunogen | A synthetic peptide corresponding to a sequence within amino acids 20 to the C-terminus of human Thioredoxin 1 (Trx1/Thioredoxin 1 (Trx1/TXN)) (NP_003320.2). |
| Formulation | Buffer: PBS with 0.02% sodium azide,50% glycerol,pH7.3. |
| Concentration | lot specific |
| Purification | Affinity purification |
| Conjugation | Unconjugated |
| Storage | Store at -20℃. Avoid freeze / thaw cycles. |
| Stability | Shelf life: one year from despatch. |
| Predicted Protein Size | 9kDa/11kDa |
| Gene Name | thioredoxin |
| Database Link | |
| Background | The protein encoded by this gene acts as a homodimer and is involved in many redox reactions. The encoded protein is active in the reversible S-nitrosylation of cysteines in certain proteins, which is part of the response to intracellular nitric oxide. This protein is found in the cytoplasm. Two transcript variants encoding different isoforms have been found for this gene. |
| Synonyms | ADF; DKFZp686B1993; MGC61975; SASP; thioredoxin; TRDX; TRX; TRX1 |
| Reference Data | |
Documents
| Product Manuals |
| FAQs |
| SDS |
{0} Product Review(s)
0 Product Review(s)
Submit review
Be the first one to submit a review
Product Citations
*Delivery time may vary from web posted schedule. Occasional delays may occur due to unforeseen
complexities in the preparation of your product. International customers may expect an additional 1-2 weeks
in shipping.
Germany
Japan
United Kingdom
China