Estrogen Receptor 1 (ESR1) Mouse Monoclonal Antibody [Clone ID: OTI1B1]
CAT#: TA503759
ESR1 (Estrogen Receptor 1/ER) mouse monoclonal antibody, clone OTI1B1 (formerly 1B1)
Size: 30 ul
Formulation: Carrier Free
USD 665.00
Specifications
| Product Data | |
| Clone Name | OTI1B1 |
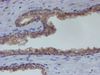
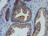
| Applications | IHC, WB |
| Recommended Dilution | WB 1:2000, IHC 1:150 |
| Reactivities | Human, Mouse, Rat |
| Host | Mouse |
| Isotype | IgG2b |
| Clonality | Monoclonal |
| Immunogen | Full length human recombinant protein of human ESR1(NP_000116) produced in HEK293T cell. |
| Formulation | PBS (pH 7.3) containing 1% BSA, 50% glycerol and 0.02% sodium azide. |
| Concentration | 1 mg/ml |
| Purification | Purified from mouse ascites fluids or tissue culture supernatant by affinity chromatography (protein A/G) |
| Conjugation | Unconjugated |
| Storage | Store at -20°C as received. |
| Stability | Stable for 12 months from date of receipt. |
| Predicted Protein Size | 66 kDa |
| Gene Name | estrogen receptor 1 |
| Database Link | |
| Background | This gene encodes an estrogen receptor, a ligand-activated transcription factor composed of several domains important for hormone binding, DNA binding, and activation of transcription. The protein localizes to the nucleus where it may form a homodimer or a heterodimer with estrogen receptor 2. Estrogen and its receptors are essential for sexual development and reproductive function, but also play a role in other tissues such as bone. Estrogen receptors are also involved in pathological processes including breast cancer, endometrial cancer, and osteoporosis. Alternative splicing results in several transcript variants, which differ in their 5' UTRs and use different promoters. [provided by RefSeq, Jul 2008] |
| Synonyms | ER; Era; ESR; ESRA; ESTRR; NR3A1 |
| Reference Data | |
| Protein Families | Druggable Genome, Nuclear Hormone Receptor, Transcription Factors |
Documents
| Product Manuals |
| FAQs |
| SDS |
Resources
| Antibody Resources |
Other Versions
| SKU | Description | Size | Price |
|---|---|---|---|
| CF503759 | Carrier-free (BSA/glycerol-free) ESR1 mouse monoclonal antibody, clone OTI1B1 (formerly 1B1) |
USD 600.00 |
|
| TA503759S | ESR1 (Estrogen Receptor 1/ER) mouse monoclonal antibody, clone OTI1B1 (formerly 1B1) |
USD 200.00 |
|
| TA700546 | purified ESR1 biotinylated detection antibody, Luminex validated mouse monoclonal antibody, clone OTI1B1 |
USD 399.00 |
{0} Product Review(s)
Be the first one to submit a review
Germany
Japan
United Kingdom
China