CD45 (PTPRC) Mouse Monoclonal Antibody [Clone ID: OTI4C11]

CAT#: TA506567

PTPRC mouse monoclonal antibody, clone OTI4C11 (formerly 4C11)

Size: 30 ul 100 ul

Formulation: Standard Carrier Free


  View other "OTI4C11" antibodies (2)

USD 447.00

In Stock*

Size
    • 100 ul

Frequently bought together (2)
Transient overexpression lysate of protein tyrosine phosphatase, receptor type, C (PTPRC), transcript variant 1
    • 100 ug

USD 665.00


beta Actin Mouse Monoclonal Antibody, Clone OTI1, Loading Control
    • 30 ul

USD 200.00

Other products for "CD45"

Specifications

Product Data
Clone Name OTI4C11
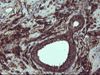
Applications IF, IHC, WB
Recommended Dilution WB 1:400~4000, IHC 1:500, IF 1:100
Reactivities Human
Host Mouse
Isotype IgG1
Clonality Monoclonal
Immunogen Full length human recombinant protein of human PTPRC(NP_002829) produced in HEK293T cell.
Formulation PBS (pH 7.3) containing 1% BSA, 50% glycerol and 0.02% sodium azide.
Concentration 1 mg/ml
Purification Purified from mouse ascites fluids or tissue culture supernatant by affinity chromatography (protein A/G)
Conjugation Unconjugated
Storage Store at -20°C as received.
Stability Stable for 12 months from date of receipt.
Predicted Protein Size 147.1 kDa
Gene Name protein tyrosine phosphatase receptor type C
Background The protein encoded by this gene is a member of the protein tyrosine phosphatase (PTP) family. PTPs are known to be signaling molecules that regulate a variety of cellular processes including cell growth, differentiation, mitosis, and oncogenic transformation. This PTP contains an extracellular domain, a single transmembrane segment and two tandem intracytoplasmic catalytic domains, and thus is classified as a receptor type PTP. This PTP has been shown to be an essential regulator of T- and B-cell antigen receptor signaling. It functions through either direct interaction with components of the antigen receptor complexes, or by activating various Src family kinases required for the antigen receptor signaling. This PTP also suppresses JAK kinases, and thus functions as a regulator of cytokine receptor signaling. Alternatively spliced transcripts variants of this gene, which encode distinct isoforms, have been reported. [provided by RefSeq, Jun 2012]
Synonyms B220; CD45; CD45R; GP180; L-CA; LCA; LY5; T200
Reference Data
Protein Families Druggable Genome, ES Cell Differentiation/IPS, Phosphatase, Transmembrane
Protein Pathways Cell adhesion molecules (CAMs), Fc gamma R-mediated phagocytosis, Primary immunodeficiency, T cell receptor signaling pathway

Other Versions

{0} Product Review(s)

0 Product Review(s) Submit review

Be the first one to submit a review

Product Citations

*Delivery time may vary from web posted schedule. Occasional delays may occur due to unforeseen complexities in the preparation of your product. International customers may expect an additional 1-2 weeks in shipping.