BCL2 Mouse Monoclonal Antibody [Clone ID: OTI2E5]

CAT#: TA803003

BCL2 mouse monoclonal antibody, clone OTI2E5 (formerly 2E5)

Size: 30 ul 100 ul

Formulation: Standard Carrier Free


  View other "OTI2E5" antibodies (2)

USD 447.00

In Stock*

Size
    • 100 ul

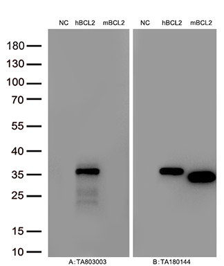
Product Images

Frequently bought together (3)
Recombinant protein of human B-cell CLL/lymphoma 2 (BCL2), nuclear gene encoding mitochondrial protein, transcript variant alpha
    • 20 ug

USD 823.00


Transient overexpression lysate of B-cell CLL/lymphoma 2 (BCL2), nuclear gene encoding mitochondrial protein, transcript variant alpha
    • 100 ug

USD 436.00


beta Actin Mouse Monoclonal Antibody, Clone OTI1, Loading Control
    • 30 ul

USD 200.00

Other products for "BCL2"

Specifications

Product Data
Clone Name OTI2E5
Applications IHC, WB
Recommended Dilution WB 1:500~1:2000, IHC 1:150
Reactivities Human
Host Mouse
Isotype IgG1
Clonality Monoclonal
Immunogen Full length human recombinant protein of human BCL2 (NP_000624) produced in E.coli.
Formulation PBS (pH 7.3) containing 1% BSA, 50% glycerol and 0.02% sodium azide.
Concentration 1 mg/ml
Purification Purified from mouse ascites fluids or tissue culture supernatant by affinity chromatography (protein A/G)
Conjugation Unconjugated
Storage Store at -20°C as received.
Stability Stable for 12 months from date of receipt.
Gene Name B-cell CLL/lymphoma 2
Background This gene encodes an integral outer mitochondrial membrane protein that blocks the apoptotic death of some cells such as lymphocytes. Constitutive expression of BCL2, such as in the case of translocation of BCL2 to Ig heavy chain locus, is thought to be the cause of follicular lymphoma. Two transcript variants, produced by alternate splicing, differ in their C-terminal ends. [provided by RefSeq, Jul 2008]
Synonyms Bcl-2; PPP1R50
Reference Data
Protein Families Druggable Genome, ES Cell Differentiation/IPS, Stem cell - Pluripotency, Transmembrane
Protein Pathways Amyotrophic lateral sclerosis (ALS), Apoptosis, Colorectal cancer, Focal adhesion, Neurotrophin signaling pathway, Pathways in cancer, Prostate cancer, Small cell lung cancer

Other Versions

{0} Product Review(s)

0 Product Review(s) Submit review

Be the first one to submit a review

Product Citations

*Delivery time may vary from web posted schedule. Occasional delays may occur due to unforeseen complexities in the preparation of your product. International customers may expect an additional 1-2 weeks in shipping.