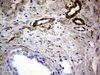
CD146 (MCAM) Mouse Monoclonal Antibody [Clone ID: OTI5C4]

CAT#: TA803548

MCAM mouse monoclonal antibody, clone OTI5C4 (formerly 5C4)

Size: 30 ul 100 ul

Formulation: Standard Carrier Free


  View other "OTI5C4" antibodies (2)

USD 447.00

In Stock*

Size
    • 100 ul

Frequently bought together (3)
Recombinant protein of human melanoma cell adhesion molecule (MCAM)
    • 20 ug

USD 823.00


Transient overexpression lysate of melanoma cell adhesion molecule (MCAM)
    • 100 ug

USD 436.00


beta Actin Mouse Monoclonal Antibody, Clone OTI1, Loading Control
    • 30 ul

USD 200.00

Other products for "CD146"

Specifications

Product Data
Clone Name OTI5C4
Applications IHC, WB
Recommended Dilution WB 1:2000, IHC 1:150
Reactivities Human
Host Mouse
Isotype IgG1
Clonality Monoclonal
Immunogen Full length human recombinant protein of human MCAM (NP_006491) produced in HEK293T cell.
Formulation PBS (pH 7.3) containing 1% BSA, 50% glycerol and 0.02% sodium azide.
Concentration 1 mg/ml
Purification Purified from mouse ascites fluids or tissue culture supernatant by affinity chromatography (protein A/G)
Conjugation Unconjugated
Storage Store at -20°C as received.
Stability Stable for 12 months from date of receipt.
Predicted Protein Size 71.4 kDa
Gene Name melanoma cell adhesion molecule
Synonyms CD146; MUC18
Reference Data
Protein Families Druggable Genome, ES Cell Differentiation/IPS, Transmembrane

Other Versions

{0} Product Review(s)

0 Product Review(s) Submit review

Be the first one to submit a review

Product Citations

*Delivery time may vary from web posted schedule. Occasional delays may occur due to unforeseen complexities in the preparation of your product. International customers may expect an additional 1-2 weeks in shipping.