MRPL15 Mouse Monoclonal Antibody [Clone ID: OTI7A3]

CAT#: TA807342

MRPL15 mouse monoclonal antibody, clone OTI7A3 (formerly 7A3)

Size: 30 ul 100 ul

Formulation: Standard Carrier Free


  View other "OTI7A3" antibodies (2)

USD 447.00

In Stock*

Size
    • 100 ul

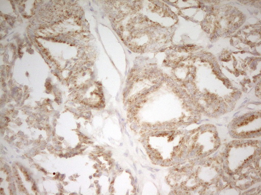
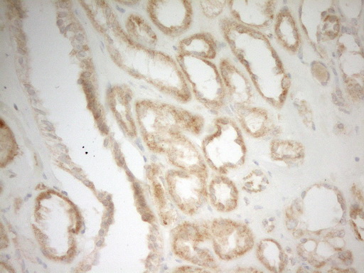
Product Images

Frequently bought together (2)
Transient overexpression lysate of mitochondrial ribosomal protein L15 (MRPL15), nuclear gene encoding mitochondrial protein
    • 100 ug

USD 436.00


beta Actin Mouse Monoclonal Antibody, Clone OTI1, Loading Control
    • 30 ul

USD 200.00

Other products for "MRPL15"

Specifications

Product Data
Clone Name OTI7A3
Applications IHC, WB
Recommended Dilution WB 1:2000, IHC 1:150
Reactivities Human, Mouse
Host Mouse
Isotype IgG2b
Clonality Monoclonal
Immunogen Human recombinant protein fragment corresponding to amino acids 28-296 of human MRPL15(NP_054894) produced in E.coli.
Formulation PBS (pH 7.3) containing 1% BSA, 50% glycerol and 0.02% sodium azide.
Concentration 1 mg/ml
Purification Purified from mouse ascites fluids or tissue culture supernatant by affinity chromatography (protein A/G)
Conjugation Unconjugated
Storage Store at -20°C as received.
Stability Stable for 12 months from date of receipt.
Predicted Protein Size 33.2 kDa
Gene Name mitochondrial ribosomal protein L15
Background Mammalian mitochondrial ribosomal proteins are encoded by nuclear genes and help in protein synthesis within the mitochondrion. Mitochondrial ribosomes (mitoribosomes) consist of a small 28S subunit and a large 39S subunit. They have an estimated 75% protein to rRNA composition compared to prokaryotic ribosomes, where this ratio is reversed. Another difference between mammalian mitoribosomes and prokaryotic ribosomes is that the latter contain a 5S rRNA. Among different species, the proteins comprising the mitoribosome differ greatly in sequence, and sometimes in biochemical properties, which prevents easy recognition by sequence homology. This gene encodes a 39S subunit protein that belongs to the EcoL15 ribosomal protein family. A pseudogene corresponding to this gene is found on chromosome 15q. [provided by RefSeq, Jul
Synonyms HSPC145; L15mt; MRP-L7; MRP-L15; RPML7
Reference Data

Other Versions

{0} Product Review(s)

0 Product Review(s) Submit review

Be the first one to submit a review

Product Citations

*Delivery time may vary from web posted schedule. Occasional delays may occur due to unforeseen complexities in the preparation of your product. International customers may expect an additional 1-2 weeks in shipping.