ZC3H8 Mouse Monoclonal Antibody [Clone ID: OTI4H5]

CAT#: TA808289

ZC3H8 mouse monoclonal antibody, clone OTI4H5 (formerly 4H5)

Size: 30 ul 100 ul

Formulation: Standard Carrier Free


  View other "OTI4H5" antibodies (2)

USD 447.00

In Stock*

Size
    • 100 ul

Frequently bought together (2)
Transient overexpression lysate of zinc finger CCCH-type containing 8 (ZC3H8)
    • 100 ug

USD 436.00


beta Actin Mouse Monoclonal Antibody, Clone OTI1, Loading Control
    • 30 ul

USD 200.00

Other products for "ZC3H8"

Specifications

Product Data
Clone Name OTI4H5
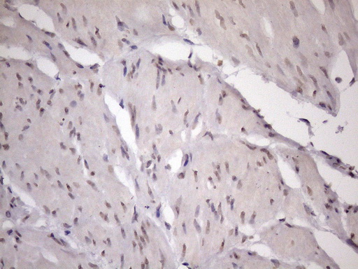
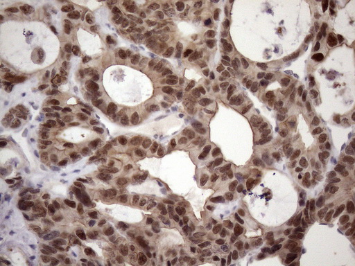
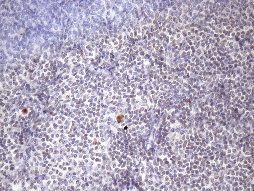
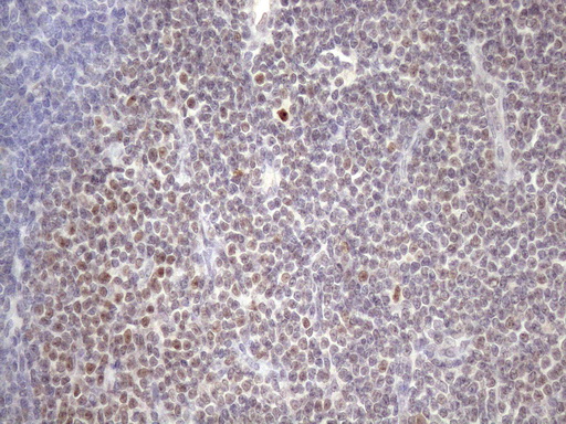
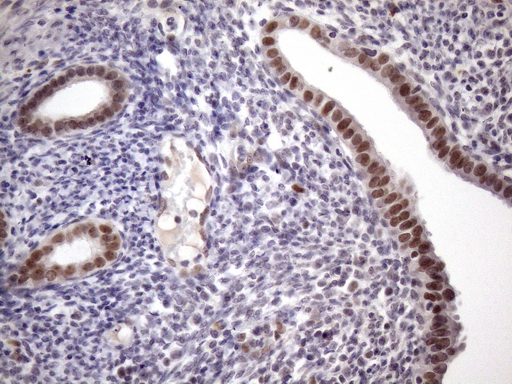
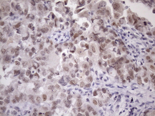
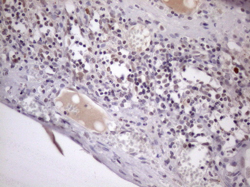
Applications IHC
Recommended Dilution IHC 1:150
Reactivities Human
Host Mouse
Isotype IgG1
Clonality Monoclonal
Immunogen Full length human recombinant protein of human ZC3H8 (NP_115883) produced in E.coli.
Formulation PBS (pH 7.3) containing 1% BSA, 50% glycerol and 0.02% sodium azide.
Concentration 1 mg/ml
Purification Purified from mouse ascites fluids or tissue culture supernatant by affinity chromatography (protein A/G)
Conjugation Unconjugated
Storage Store at -20°C as received.
Stability Stable for 12 months from date of receipt.
Predicted Protein Size 33.4 kDa
Gene Name zinc finger CCCH-type containing 8
Synonyms Fliz1; ZC3HDC8
Reference Data

Other Versions

{0} Product Review(s)

0 Product Review(s) Submit review

Be the first one to submit a review

Product Citations

*Delivery time may vary from web posted schedule. Occasional delays may occur due to unforeseen complexities in the preparation of your product. International customers may expect an additional 1-2 weeks in shipping.