E Cadherin (CDH1) Mouse Monoclonal Antibody [Clone ID: UMAB184]
CAT#: UM800076
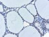
CDH1 mouse monoclonal antibody,clone UMAB184
Size: 30 ul
View other "UMAB184" antibodies (2)
Special Offer: Get a 15% discount on this product. Use code: “NEURO15".
Specifications
| Product Data | |
| Clone Name | UMAB184 |
| Applications | 10k-ChIP, FC, IF, IHC, WB |
| Recommended Dilution | IHC 1:100~200 |
| Reactivities | Human |
| Host | Mouse |
| Isotype | IgG1 |
| Clonality | Monoclonal |
| Immunogen | The extracellular domain of human CDH1 (NP_004351) produced in human cells. |
| Formulation | PBS (PH 7.3) containing 1% BSA, 50% glycerol and 0.02% sodium azide. |
| Concentration | 0.5~1.0 mg/ml (Lot Dependent) |
| Purification | Purified from mouse ascites fluids or tissue culture supernatant by affinity chromatography (protein A/G) |
| Conjugation | Unconjugated |
| Storage | Store at -20°C as received. |
| Stability | Stable for 12 months from date of receipt. |
| Predicted Protein Size | 94.8 kDa |
| Gene Name | Homo sapiens cadherin 1 (CDH1), transcript variant 1, mRNA. |
| Database Link | |
| Background | This gene is a classical cadherin from the cadherin superfamily. The encoded protein is a calcium dependent cell-cell adhesion glycoprotein comprised of five extracellular cadherin repeats, a transmembrane region and a highly conserved cytoplasmic tail. Mutations in this gene are correlated with gastric, breast, colorectal, thyroid and ovarian cancer. Loss of function is thought to contribute to progression in cancer by increasing proliferation, invasion, and/or metastasis. The ectodomain of this protein mediates bacterial adhesion to mammalian cells and the cytoplasmic domain is required for internalization. Identified transcript variants arise from mutation at consensus splice sites. [provided by RefSeq, Jul 2008] |
| Synonyms | Arc-1; CD324; CDHE; ECAD; LCAM; UVO |
| Reference Data | |
| Protein Families | Druggable Genome, ES Cell Differentiation/IPS, Transmembrane |
| Protein Pathways | Adherens junction, Bladder cancer, Cell adhesion molecules (CAMs), Endometrial cancer, Melanoma, Pathogenic Escherichia coli infection, Pathways in cancer, Thyroid cancer |
Documents
| Product Manuals |
| FAQs |
Resources
| Antibody Resources |
Other Versions
| SKU | Description | Size | Price |
|---|---|---|---|
| UM800076CF | Carrier-free (BSA/glycerol-free) CDH1 mouse monoclonal antibody,clone UMAB184 |
USD 528.00 |
|
| UM870076 | CDH1 mouse monoclonal antibody,clone UMAB184 |
USD 180.00 |
{0} Product Review(s)
Be the first one to submit a review
Germany
Japan
United Kingdom
China