Il18 Rabbit Polyclonal Antibody
Other products for "IL18"
Specifications
| Product Data | |
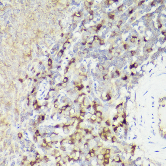
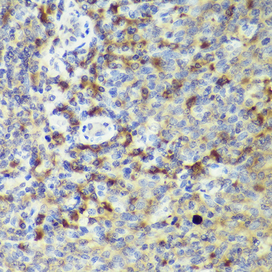
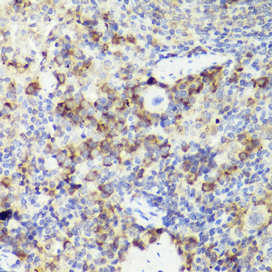
| Applications | IHC, WB |
| Recommended Dilution | WB,1:500 - 1:2000 IHC,1:50 - 1:200 |
| Reactivities | Human, Mouse, Rat |
| Modifications | Unmodified |
| Host | Rabbit |
| Isotype | IgG |
| Clonality | Polyclonal |
| Immunogen | Recombinant protein of Mouse IL18. |
| Formulation | Buffer: PBS with 0.02% sodium azide,50% glycerol,pH7.3. |
| Concentration | lot specific |
| Purification | Affinity purification |
| Conjugation | Unconjugated |
| Storage | Store at -20℃. Avoid freeze / thaw cycles. |
| Stability | Shelf life: one year from despatch. |
| Predicted Protein Size | 22kDa |
| Gene Name | interleukin 18 |
| Database Link | |
| Background | Interleukin-18 (L-18) is a cytokine that belongs to the IL-1 superfamily and is produced by macrophages and other cells. IL-18 works by binding to the interleukin-18 receptor, and together with IL-12 it induces cell-mediated immunity following infection with microbial products like lipopolysaccharide (LPS). After stimulation with IL-18, natural killer (NK) cells and certain T cells release another important cytokine called interferon-γ (IFN-γ) or type II interferon that plays an important role in activating the macrophages or other cells. The combination of this cytokine and IL12 has been shown to inhibit IL-4 dependent IgE and IgG1 production, and enhance IgG2a production in B cells. IL-18 binding protein (IL18BP) can specifically interact with this cytokine, and thus negatively regulate its biological activity. |
| Synonyms | Iboctadekin; IGIF; IL-1g; IL-18; IL1F4; interleukin-18; MGC12320 |
| Reference Data | |
Documents
| Product Manuals |
| FAQs |
| SDS |
{0} Product Review(s)
0 Product Review(s)
Submit review
Be the first one to submit a review
Product Citations
*Delivery time may vary from web posted schedule. Occasional delays may occur due to unforeseen
complexities in the preparation of your product. International customers may expect an additional 1-2 weeks
in shipping.
Germany
Japan
United Kingdom
China