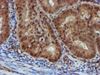
NQO2 Mouse Monoclonal Antibody [Clone ID: OTI3G4]

CAT#: TA504781

NQO2 mouse monoclonal antibody, clone OTI3G4 (formerly 3G4)

Size: 30 ul 100 ul

Formulation: Standard Carrier Free


  View other "OTI3G4" antibodies (2)

USD 447.00

In Stock*

Size
    • 100 ul

Frequently bought together (3)
Recombinant protein of human NAD(P)H dehydrogenase, quinone 2 (NQO2)
    • 20 ug

USD 823.00


Transient overexpression lysate of NAD(P)H dehydrogenase, quinone 2 (NQO2)
    • 100 ug

USD 436.00


beta Actin Mouse Monoclonal Antibody, Clone OTI1, Loading Control
    • 30 ul

USD 200.00

Other products for "NQO2"

Specifications

Product Data
Clone Name OTI3G4
Applications IHC, WB
Recommended Dilution WB 1:500~2000, IHC 1:150
Reactivities Human, Dog, Monkey, Mouse
Host Mouse
Isotype IgG1
Clonality Monoclonal
Immunogen Full length human recombinant protein of human NQO2(NP_000895) produced in HEK293T cell.
Formulation PBS (pH 7.3) containing 1% BSA, 50% glycerol and 0.02% sodium azide.
Concentration 1 mg/ml
Purification Purified from mouse ascites fluids or tissue culture supernatant by affinity chromatography (protein A/G)
Conjugation Unconjugated
Storage Store at -20°C as received.
Stability Stable for 12 months from date of receipt.
Predicted Protein Size 25.7 kDa
Gene Name N-ribosyldihydronicotinamide:quinone reductase 2
Background NQO2 (EC 1.10.99.2) is a flavoprotein that catalyzes the 2-electron reduction of various quinones, redox dyes, and the vitamin K menadione. NQO2 predominantly uses dihydronicotinamide riboside (NRH) as the electron donor (summary by Wu et al., 1997 [PubMed 9367528]). [supplied by OMIM]
Synonyms DHQV; DIA6; NMOR2; QR2
Reference Data

Other Versions

{0} Product Review(s)

0 Product Review(s) Submit review

Be the first one to submit a review

Product Citations

*Delivery time may vary from web posted schedule. Occasional delays may occur due to unforeseen complexities in the preparation of your product. International customers may expect an additional 1-2 weeks in shipping.