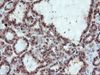
SERPINB1 Mouse Monoclonal Antibody [Clone ID: OTI2B4]

CAT#: TA800078

SERPINB1 mouse monoclonal antibody, clone OTI2B4 (formerly 2B4)

Size: 30 ul 100 ul

Formulation: Standard Carrier Free


  View other "OTI2B4" antibodies (2)

USD 447.00

In Stock*

Size
    • 100 ul

Frequently bought together (3)
Recombinant protein of human serpin peptidase inhibitor, clade B (ovalbumin), member 1 (SERPINB1)
    • 20 ug

USD 823.00


Transient overexpression lysate of serpin peptidase inhibitor, clade B (ovalbumin), member 1 (SERPINB1)
    • 100 ug

USD 436.00


beta Actin Mouse Monoclonal Antibody, Clone OTI1, Loading Control
    • 30 ul

USD 200.00

Other products for "SERPINB1"

Specifications

Product Data
Clone Name OTI2B4
Applications FC, IHC, WB
Recommended Dilution WB 1:500~2000, IHC 1:150, FLOW 1:100
Reactivities Human, Monkey
Host Mouse
Isotype IgG2a
Clonality Monoclonal
Immunogen Human recombinant protein fragment corresponding to amino acids 77-306 of human SERPINB1 (NP_109591) produced in E.coli.
Formulation PBS (pH 7.3) containing 1% BSA, 50% glycerol and 0.02% sodium azide.
Concentration 1 mg/ml
Purification Purified from mouse ascites fluids or tissue culture supernatant by affinity chromatography (protein A/G)
Conjugation Unconjugated
Storage Store at -20°C as received.
Stability Stable for 12 months from date of receipt.
Predicted Protein Size 42.6 kDa
Gene Name serpin family B member 1
Synonyms EI; ELANH2; HEL-S-27; HEL57; LEI; M/NEI; MNEI; PI-2; PI2
Reference Data
Protein Families Druggable Genome

Other Versions

{0} Product Review(s)

0 Product Review(s) Submit review

Be the first one to submit a review

Product Citations

*Delivery time may vary from web posted schedule. Occasional delays may occur due to unforeseen complexities in the preparation of your product. International customers may expect an additional 1-2 weeks in shipping.